14 年
手机商铺
技术资料/正文
1827 人阅读发布时间:2024-08-29 15:43
01
雄激素性脱发
雄激素性脱发的特点是头发逐渐变薄,最终导致部分或全部秃顶。目前,有多种治疗方法可以帮助减缓脱发过程或促进头发再生,包括药物治疗、激光治疗和毛发移植等。

图1 男性脱发Hamilton-Norwood分级[1]
02
脱发机制
雄激素脱发(Androgenetic Alopecia, AGA)的机制是多方面的,涉及遗传、激素水平及毛囊对激素的敏感性。
遗传因素:AGA具有遗传倾向,家族中有脱发史的人更易患此病。
激素因素:雄激素在AGA的发病中占有决定性因素。AGA患者的毛囊对雄激素更为敏感,特别是毛囊内的Ⅱ型5α还原酶将睾酮转化为活性更强的二氢睾酮(DHT),DHT与毛囊内的雄激素受体结合,导致毛囊逐渐萎缩,毛发生长周期缩短,最终导致脱发。

图2 雄激素介导的脱发发生机制[2]
毛囊微小化:随着DHT对毛囊的影响,毛囊逐渐变小,导致原本生长粗壮毛发的毛囊转变为生长细小毳毛的毛囊,这些毳毛最终停止生长,导致脱发区域的秃发现象。
炎症因素:AGA中毛囊上部周围存在炎症,这可能进一步加剧毛囊的损伤和脱发过程。
其他因素:生活压力、紧张和焦虑、不良的生活和饮食习惯等,可能会诱发或加重AGA的症状。
03
雄激素脱发研究相关动物模型
造模方法


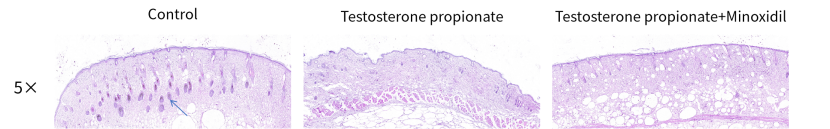
适应性饲养7天后,将所有小鼠背部皮肤约2×2cm区域进行脱毛(Day0)。对照组:生理盐水处理;模型组:丙酸睾酮(Testosterone propionate)处理;治疗组:丙酸睾酮处理+米诺地尔酊(Minoxidil tincture)处理。
部分结果展示

Fig 1. clinical symptoms of androgenetic alopecia mouse model and statistical data analysis, other analysis are on going.

Fig 2. Representative images of HE pathological results. Blue arrow means normal hair follicle.
总结
南模生物成功构建了丙酸睾酮诱导的雄性脱发小鼠模型,所有模型小鼠均观察到明显的脱发症状,且在使用米诺地尔酊的情况下脱发程度得到了一定程度的改善。
南模生物深耕基因编辑领域,提供全方位模式生物服务,包括基因修饰成品模型供应、个性化模型定制、饲养繁育、表型分析、药效评价等,满足不同实验室需求。若您有相关需求,欢迎拨打400-728-0660热线或于南模生物微信公众号在线咨询,我们的专业团队将竭诚为您服务!
Reference:
[1] 中华整形外科杂志,2022年5月第38卷第5期
[2] Bajoria PS, Dave PA, Rohit RK, et al. Comparing Current Therapeutic Modalities of Androgenic Alopecia: A Literature Review of Clinical Trials. Cureus. 2023;15(7):e42768. Published 2023 Jul 31. doi:10.7759/cureus.42768
[3] Ntshingila S, Oputu O, Arowolo AT, Khumalo NP. Androgenetic alopecia: An update. JAAD Int. 2023;13:150-158. Published 2023 Jul 22. doi:10.1016/j.jdin.2023.07.005
关于我们
上海南方模式生物科技股份有限公司(Shanghai Model Organisms Center, Inc.,简称"南模生物"),成立于2000年9月,是一家上交所科创板上市高科技生物公司(股票代码:688265),始终以编辑基因、解码生命为己任,专注于模式生物领域,打造了以基因修饰动物模型研发为核心,涵盖多物种模型构建、饲养繁育、表型分析、药物临床前评价等多个技术平台,致力于为全球高校、科研院所、制药企业等客户提供全方位、一体化的基因修饰动物模型产品解决方案。
撰稿:方知有
编辑:方知有
审核:童颜菌子/鼠博士