14 年
手机商铺
技术资料/正文
585 人阅读发布时间:2024-10-24 13:49
肿瘤学研究中,还原肿瘤的发展进程是科学家们研究的一大重点。在丰富的肿瘤小鼠模型中,有一类模型拥有肿瘤早期进展特征和自发肿瘤转移等优点,广泛应用于肿瘤的发生机制研究、肿瘤药物筛选和评估以及免疫治疗研究。这个模型就是基因修饰原发肿瘤小鼠模型,也在某些情况被称为自发性肿瘤小鼠模型。

基因修饰原发肿瘤小鼠模型是人为基因编辑条件下,免疫功能健全的小鼠体内携带癌基因的过表达或激活突变、抑癌基因的缺失或抑制突变而自发形成肿瘤的模型。这类模型的优点在于其分子调控机制和病理学机制与自然条件下发生的肿瘤更相似,包括了肿瘤发展的随机性、早期进展和自发的肿瘤转移,更好地概括了人类肿瘤的发展进程。基因修饰原发肿瘤小鼠模型适用于肿瘤生长的生物学过程的研究、免疫治疗模式的评估和抗肿瘤治疗药物的研发筛选等。
基因修饰原发肿瘤小鼠模型推荐
南模生物在基因编辑领域深耕20余年,拥有庞大的基因修饰小鼠库,可提供30余种多类型多癌种基因修饰原发小鼠模型,可为客户提供候选药物筛选、药理药效评价、药代动力学评价、早期毒理评价等临床前服务项目。

更多肿瘤小鼠模型详情及其验证数据,欢迎拨打400-728-0660热线或于南模生物微信公众号在线咨询,我们的专业团队将竭诚为您服务!
原发肺癌小鼠模型
01
Stk11/EGFP/Kras-LSL-G12D原发肺癌小鼠模型
品系简称:Stk11-Flox/R26-CAG-LSL-Luc-2A-EGFP/Kras-LSL-G12D
品系目录号:NM-CKO-234719
相关基因:Stk11/EGFP/Kras-LSL-G12D
小鼠背景:C57BL/6
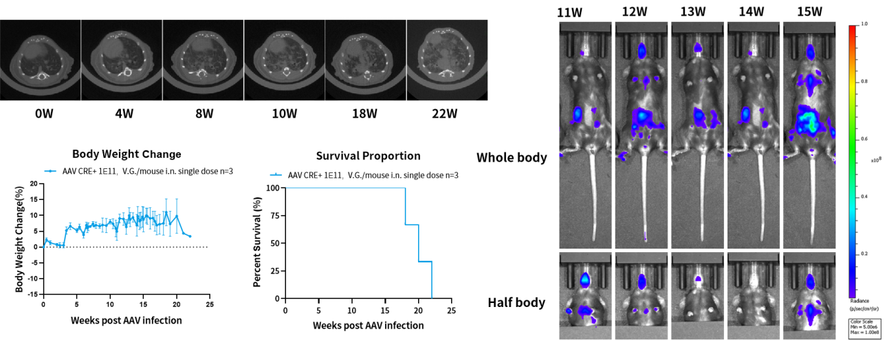
Stk11/EGFP/Kras-LSL-G12D小鼠是一种原发肺癌小鼠模型,包含了KRAS基因突变、EGFP过表达与STK11蛋白缺失。EGFR的高表达或异常激活与包括非小细胞肺癌(NSCLC)在内的多种癌症的肿瘤进展和治疗耐药有关,STK11突变经常发生在非小细胞肺癌中(发生率超过10%),Kras 突变在肺癌(NSCLC)占34%,以非小细胞肺癌占比较多,肺鳞癌中占比较少。KRAS突变基因与EGFP过表达基因的上游含有lox-stop-lox终止序列,其在没有cre重组酶的条件下是不表达的;Stk11也需要Cre的存在才能发生敲除。通过使用AAV-CRE对小鼠进行诱导,即可使小鼠产生肿瘤。
验证数据:

图1 Stk11/EGFP/Kras-LSL-G12D原发肺癌小鼠模型可通过AAV-CRE诱导引发肺癌。


图2. Stk11/EGFP/Kras-LSL-G12D瘤块来源细胞系的抗肿瘤药效评价
02
Trp53-Flox/Kras-LSL-G12D原发肺癌小鼠模型
品系简称:Trp53-Flox/Kras-LSL-G12D
品系目录号:NM-CKO-233079
相关基因:Trp53/Kras-LSL-G12D
小鼠背景:C57BL/6
Trp53-Flox/Kras-LSL-G12D小鼠是一种原发肺癌小鼠模型,包含了KRAS基因突变与Trp53蛋白缺失。编码肿瘤抑制因子Trp53在绝大多数小细胞肺癌 (SCLC) 肿瘤中失活。野生型Kras激活/失活效应是受控的,而突变型Kras蛋白功能异常,持续处于激活状态,导致肿瘤细胞的持续增殖。Kras 突变在肺癌(NSCLC)占34%,以非小细胞肺癌占比较多,肺鳞癌中占比较少。KRAS突变基因与EGFP过表达基因的上游含有lox-stop-lox终止序列,其在没有cre重组酶的条件下是不表达的。通过使用AAV-CRE对小鼠进行诱导,即可使小鼠产生肿瘤。
验证数据:


图3 Trp53-Flox/Kras-LSL-G12D原发肺癌小鼠模型可通过AAV-CRE诱导引发肺癌。
03
Mki67-tdTomato-2A-Luc原发肺癌小鼠模型
品系简称:Mki67-tdTomato-2A-Luc
品系目录号:NM-KI-200223
相关基因:Ki67
小鼠背景:C57BL/6
Ki67蛋白被广泛用作肿瘤标志物,并且 Ki67指数与肿瘤疾病的病程相关,可用于评估患者生存和癌症进展。南模生物将Mki67-tdTomato-2A-Luc小鼠与Kras-LSL-G12D小鼠进行交配,并通过AAV注射诱导KrasG12D/Mki67-Akaluc基因型小鼠形成肿瘤。
验证数据:

图4. Mki67-tdTomato-2A-Luc原发肺癌小鼠模型可通过AAV-CRE诱导引发肺癌。
原发胰腺癌小鼠模型
01
KPC原发胰腺癌小鼠模型
品系简称:KPC
品系目录号:NM-KI-210096
相关基因:TP53(R172H)/Pdx1/Kras(G12D)
小鼠背景:C57BL/6
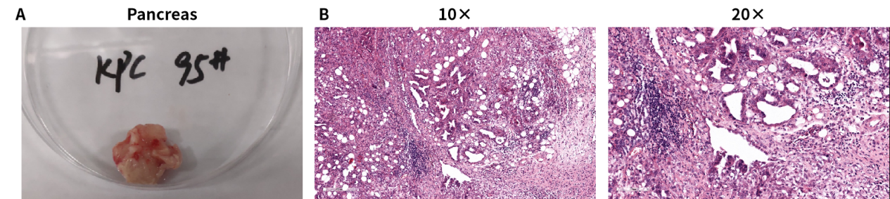
KPC小鼠是目前成功建立的一种胰腺导管腺癌模型小鼠,具有很多与人胰腺癌相似的特点,如胰腺内皮细胞瘤形成,强烈的免疫反应等。80%的KPC小鼠出现了肝转移和肺转移的现象。KPC小鼠包含了KRAS和TP53基因突变,而在人胰腺癌的研究中发现,分别有80%和70%的患者表达这两种突变蛋白。 KPC小鼠的P53基因含有一个显性抑制性点突变( TP53R172H ),KRAS基因含有一个条件性活化点突变(KRASG12D)。KRAS突变基因的上游含有lox-stop-lox终止序列,其在没有cre重组酶的条件下是不表达的。将Cre重组酶连接到PDX1的启动子后,其将在胰腺的腺泡、胰岛和导管中表达。
验证数据:
小鼠组织病理学检测:

图1 KPC小鼠模型的自发式性胰腺癌体和HE染色结果。胰腺表面不平整,多个结节状突起;细胞排列无序,组织结构呈不规则细胞团,可见胰腺导管增生,炎症细胞浸润,间质纤维形成,符合肿瘤组织结构特征。
KPC-luc原位移植小鼠模型:

图2 KPC小鼠肿瘤细胞接种至野生C57BL/6小鼠的肝脏、肺、胰腺中的生长情况。
KPC-luc皮下移植小鼠模型与药效检测

图3. KPC小鼠瘤块来源的细胞系的抗肿瘤药效评价(宿主小鼠对为C57BL/6小鼠)。a. 药效成瘤曲线, b. 药效体重曲线, c. 肿瘤照片
02
Cdkn2a/Kras-G12D/Pdx1原发胰腺癌小鼠模型
品系简称:Cdkn2a-Flox/Kras-LSL-G12D/Pdx1-Cre-Tg
品系目录号:NM-XA-234942
相关基因:Cdkn2a/Pdx1/Kras(G12D)
小鼠背景:C57BL/6
Cdkn2a/Kras-G12D/Pdx1小鼠是一种胰腺导管腺癌模型小鼠,可以很好地反馈侵袭性 PDAC 之前的胰腺癌前病变等。Cdkn2a/Kras-G12D/Pdx1小鼠包含了KRAS基因突变与CDKN2A缺失。人类92% 的 PDAC检测到Kras 突变,并且CDKN2A 的缺失是散发性 PDAC 中的关键致癌事件之一。KRAS突变基因的上游含有lox-stop-lox终止序列,其在没有cre重组酶的条件下是不表达的;Cdkn2a也需要Cre的存在才能发生敲除。将Cre重组酶连接到PDX1的启动子后,其将在胰腺的腺泡、胰岛和导管中表达。
验证数据:

图4 Cdkn2a/Kras-G12D/Pdx1原发胰腺癌小鼠模型的胰腺癌成瘤率、生存率、体重变化率。
原发肝癌小鼠模型
01
Alb-Cre-Tg/H11-CAG-LSL-Myc原发肝癌小鼠模型
品系简称:Alb-Cre-Tg/H11-CAG-LSL-Myc
品系目录号:NM-KI-220458
相关基因:Alb/Myc
小鼠背景:C57BL/6
MYC是一种主要的致癌转录因子,调节参与细胞增殖、代谢和免疫逃避等多种途径的靶基因,在多种癌症的肿瘤发生和发展中发挥着关键作用。在肝癌中,MYC及其信号通路发生显着变化,对肝癌进展产生深远影响,包括肿瘤增殖、转移、去分化、代谢、免疫微环境和综合治疗耐药等。这使得 MYC 成为一个有吸引力的靶点。MYC基因的上游含有lox-stop-lox终止序列,其在没有cre重组酶的条件下是不表达的,将Cre重组酶连接到Alb的启动子后,其将在肝脏中表达。
验证数据:

图. H11-LSL-Myc/Rosa26-LSL-LuC-EGFP/Ab-Cre三阳性小鼠自发肝癌瘤块的同种移植实验。
基于基因修饰原发肿瘤小鼠模型原代肿瘤细胞系
基因修饰原发肿瘤小鼠模型在肿瘤的发生、发展与人类相似,但肿瘤的发生参差不齐,周期长,实验耗费大。因而,南模生物从小鼠原发肿瘤建立起多种可在体外培养传代的肿瘤细胞系,这些肿瘤细胞系不仅为癌细胞的体外生物学研究提供了工具,而且可以移植到遗传背景相同、不会发生免疫排斥的其他小鼠体内,建立移植瘤小鼠模型。

综上,基因修饰原发肿瘤小鼠模型在肿瘤学研究中扮演着重要角色,尤其是在探索肿瘤的发病机制、药物筛选和个性化治疗方面具有广泛的应用前景。如您有相关小鼠模型或定制化服务需求,欢迎随时联系我们!
关于我们
上海南方模式生物科技股份有限公司(Shanghai Model Organisms Center, Inc.,简称"南模生物"),成立于2000年9月,是一家上交所科创板上市高科技生物公司(股票代码:688265),始终以编辑基因、解码生命为己任,专注于模式生物领域,打造了以基因修饰动物模型研发为核心,涵盖多物种模型构建、饲养繁育、表型分析、药物临床前评价等多个技术平台,致力于为全球高校、科研院所、制药企业等客户提供全方位、一体化的基因修饰动物模型产品解决方案。