14 年
手机商铺
技术资料/正文
285 人阅读发布时间:2025-06-23 10:33
肺纤维化(pulmonary fibrosis,PF)是一种慢性进行性肺部疾病,会导致肺功能性气体交换功能受损、呼吸衰竭甚至死亡。该病的发生发展的起因是多种因素引起的早期肺部炎症,这些炎症的长期持续将导致肺内纤维组织沉积,诱发肺纤维化。已有研究表明,肺成纤维细胞的异常激活和分化是致病因素之一,而持续性肺泡损伤和修复不完全也可促进肺纤维化[1-2]。

图1 肺部炎症发展的一般情况[1]
在科研工作中,博来霉素、百草枯、高浓度氧、石棉等均可以作为诱导剂来引起肺纤维化,其中以博来霉素最为常用。博莱霉素(bleomycin,BLM)是一种肿瘤药物,对肺部存在毒性副作用。该药可以诱导DNA的断裂与氧化应激反应,从而引起实质炎症、上皮细胞损伤伴反应性增生、上皮-间充质转化、成纤维细胞活化并分化为肌成纤维细胞,以及基底膜和肺泡上皮损伤等症状。

图2 博来霉素诱发肺纤维化[3]
目前肺纤维化的发展机制尚未完全明确,缺乏有效的治疗方法来应对肺纤维化成为了一个现实问题。因此,一个理想的肺纤维化模型,不仅有助于进一步筛选肺纤维化生物标志物,同时也能为深入研究肺纤维化发病机制及动物临床治疗肺纤维化和研发新药提供科学基础。其中,小鼠与大鼠因其体型小、价格便宜、操作简便等优点,成为目前肺纤维化动物模型构造中的最广泛的选择。
南模生物肺纤维化模型:
博来霉素诱导的肺纤维化模型,操作简单、可重复性强、与人类疾病的典型特征相似,是目前应用最广泛的PF动物模型方法。
南模生物长期致力于自身免疫性疾病相关研究,开发了博莱霉素诱导的C57BL/6小鼠肺纤维化模型,该模型表现出良好的表型,为相关药物的药效评估和安全性评价提供了强有力的工具,部分数据如下:

图1 博莱霉素诱导的C57BL/6小鼠肺纤维化模型。(A) 体重;(A) 体重变化;(C)生存曲线。

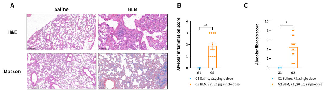
图2 博莱霉素诱导的C57BL/6小鼠肺纤维化模型。(A)代表性肺组织学图片;(B)组织学炎症评分;(C)纤维化评分。
如您有相关需求,欢迎拨打400-728-0660 (订购/技术热线)或于微信公众号南模生物SMOC在线咨询,或致信marketing@modelorg.com,我们的专业团队将竭诚为您服务!
参考文献:
[1] Savin IA, et al. Pulmonary Fibrosis as a Result of Acute Lung Inflammation: Molecular Mechanisms, Relevant In Vivo Models, Prognostic and Therapeutic Approaches. Int J Mol Sci. 2022 Nov 29;23(23):14959.
[2] Cheng P, et al. Macrophages in Lung Injury, Repair, and Fibrosis. Cells. 2021 Feb 18;10(2):436.
[3] Della Latta V, Cecchettini A, Del Ry S, Morales MA. Bleomycin in the setting of lung fibrosis induction: From biological mechanisms to counteractions. Pharmacol Res. 2015 Jul;97:122-30.