14 年
手机商铺
技术资料/正文
362 人阅读发布时间:2025-08-15 13:49
2025年8月12日,瑞金医院胰腺外科沈柏用教授团队和符达教授团队,与南开大学生命科学学院孙宝发教授在Cell Metabolism在线发表了题为"Tumor-Associated Schwann Cell Remodeling under Metabolic Stress via Lactate Sensing Orchestrates PDAC Development" 的研究论文。该论文揭示了糖尿病相关胰腺癌免疫逃逸的关键机制——“乳酸-METTL16”轴,并发现临床常用降脂药瑞舒伐他汀可作为潜在METTL16抑制剂,大幅提升免疫治疗疗效。
南模生物为该研究提供了多种小鼠:KPC(NM-NSG-001)、Ldha-Flox(NM-CKO-200114)、Ldha-KO(NM-KO-205062)、Slc16a1-Flox(NM-CKO-2104085)、Slc16a3-Flox(NM-CKO-2109610)、Gfap-Cre(NM-KI-242462)、Mettl16-Flox(NM-CKO-2100804)、Nectin2-Flox(NM-CKO-230159)。

2型糖尿病(type 2 diabetes,T2DM)和肥胖是胰腺导管腺癌(pancreatic ductal adenocarcinomas,PDAC)的重要风险因素,可使发病风险增加1.5~2倍。高血糖和高胰岛素血症通过激活胰岛素/IGF-1信号通路、慢性炎症和AGEs(晚期糖基化终产物)促进肿瘤发生。反之,PDAC也可通过分泌肿瘤源性因子(如肾上腺髓质素、外泌体)诱导新发糖尿病,形成恶性循环。
糖尿病相关的代谢紊乱(高血糖、高乳酸等)在肿瘤微环境(tumor microenvironment,TME)中诱导氧化应激和免疫抑制。乳酸长期被视为代谢废物,但近年研究发现其可作为信号分子调控免疫细胞功能。
神经周围浸润(perineural invasion,PNI)是胰腺癌的一种重要特征,其发生率高,机制复杂。PNI作为一种特殊的胰腺癌转移侵袭途径,与胰腺癌不良预后和疼痛密切相关。施旺细胞(Schwann cells)是外周神经系统的主要胶质细胞,在肿瘤微环境中被重编程为肿瘤相关施旺细胞(Tumor-associated Schwann cells,TASc),促进癌细胞迁移和免疫逃逸。近期scRNA-seq研究揭示了施旺细胞的异质性,但仍需更精细的方法以阐明其在肿瘤微环境中的功能。
糖尿病诱导的代谢应激与施旺细胞重塑在糖尿病相关胰腺癌(diabetic pancreatic cancer, DPC)中的相互作用,及其如何促进肿瘤形成和进展。
为明确这些问题,研究人员进行了以下研究:
1
糖尿病促进胰腺癌进展
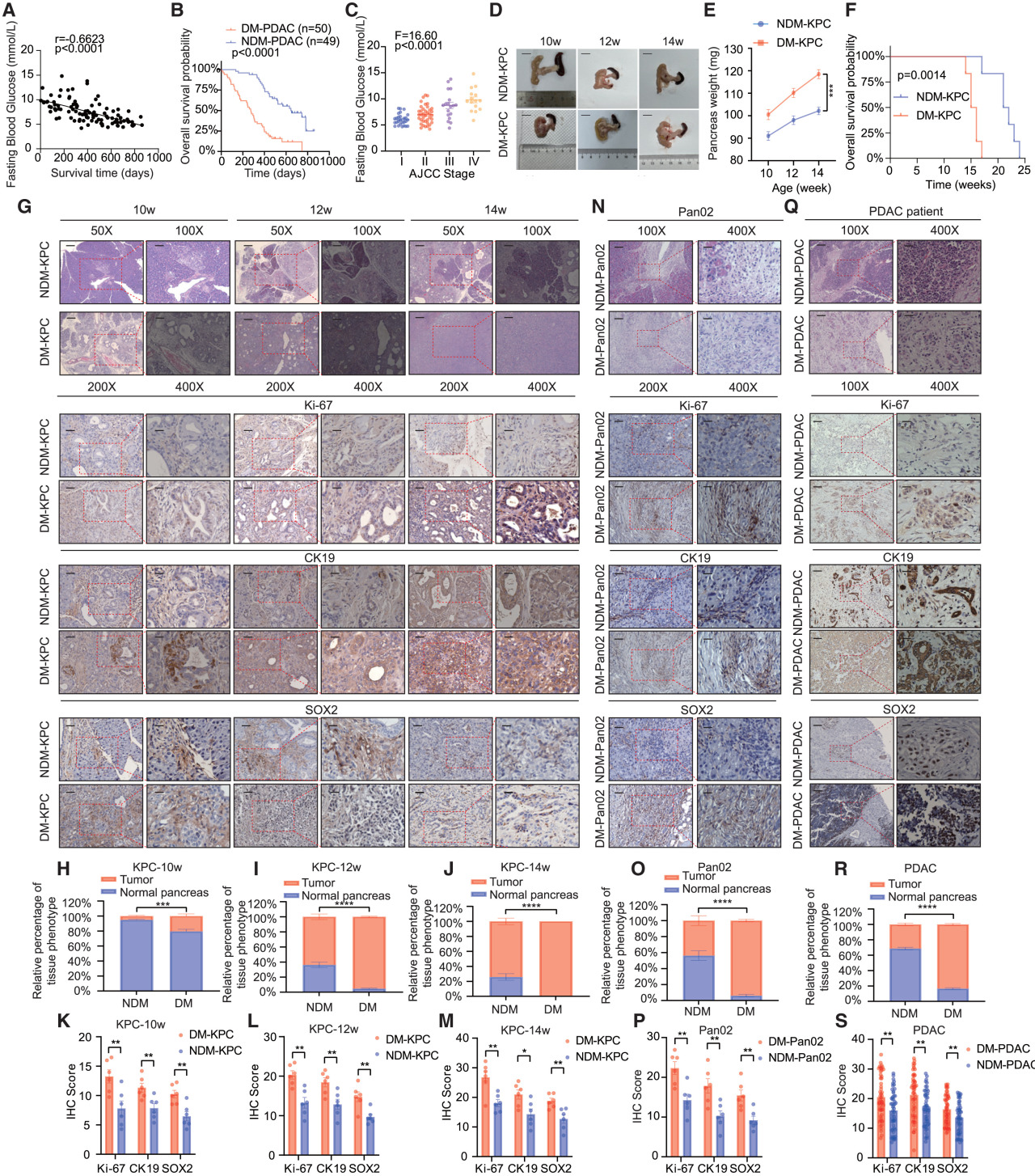
研究人员分析了50例合并2型糖尿病(T2DM)的胰腺导管腺癌(PDAC)患者(简称DPC)和49例无糖尿病的PDAC患者(简称NDPC)。这些患者的空腹血糖水平(图1A)表明,高血糖与较差的总生存期相关(图1B),并且是独立的预后因素(图1C)。CT结果显示DPC患者的肿瘤体积显著大于NDPC患者(图S1C、S1D)。
为探究其潜在机制,研究人员采用自发PDAC小鼠模型(KrasG12D/+Trp53R172H/+Pdx1-Cre,简称KPC),并通过高脂饮食联合链脲佐菌素(STZ)诱导2型糖尿病(DM-KPC)。结果显示,DM-KPC小鼠在10、12和14周龄时PDAC进展更快,预后更差(图1D-1M)。
为进一步确认这些现象在糖尿病先于肿瘤负荷发生时是否依然成立。研究人员对原位注射了Pan02-Luc细胞(DM-Pan02)的C57BL/6J糖尿病小鼠与非糖尿病对照组(NDM-Pan02)小鼠实验。结果表明,与NDM-Pan02小鼠相比,DM-Pan02小鼠肿瘤细胞数量更多,增殖和干性标志物水平更高,生存期更短(图1N-1P)。
同时,研究人员对人类DPC和NDPC患者的癌组织进行了病理分析,结果显示DPC患者的肿瘤负荷显著更高(图1Q-1S)。以上结果提示,糖尿病显著加速胰腺癌的发生发展。

Fig1. 糖尿病促进胰腺癌进展
2
高乳酸水平加速糖尿病相关PDAC进展
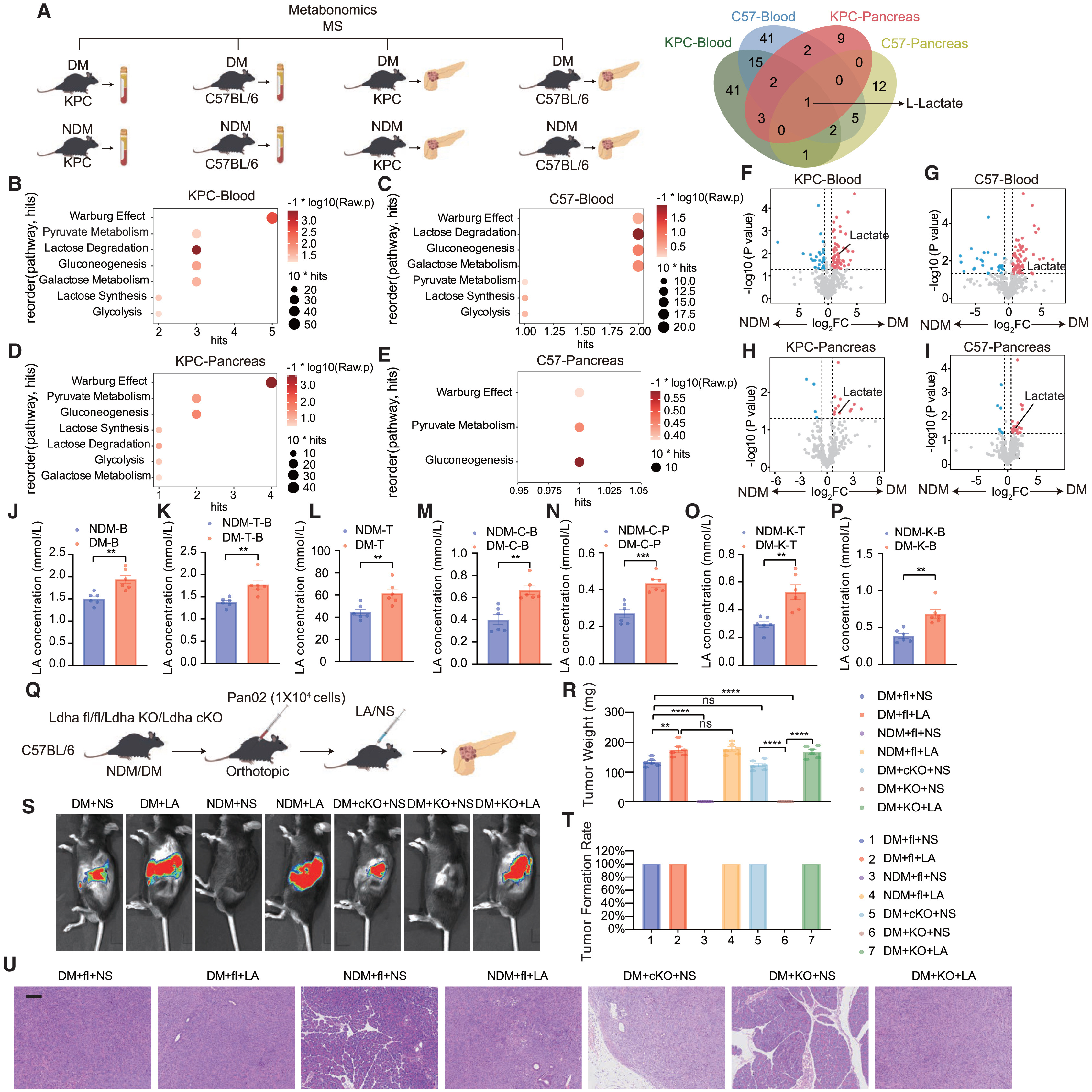
为研究代谢应激驱动肿瘤负荷差异的分子机制,研究人员对14周龄的糖尿病和对照组C57BL/6J小鼠,以及DM-KPC和NDM-KPC小鼠的外周血和胰腺组织进行了代谢组学质谱分析(图2A)。分析发现所有样本均显著富集在Warburg效应和丙酮酸代谢通路(图2B-2E)。DM-KPC组癌组织和外周血中L-乳酸水平显著高于NDM-KPC(图2F、2H)。此外,DM-C57BL/6小鼠的代谢组谱中也发现乳酸显著上调(图2G、2I)。
研究人员在人类患者中通过ELISA验证了上述代谢组学结果。实验数据显示,糖尿病小鼠的外周血和胰腺组织中乳酸水平均显著高于非糖尿病小鼠(图2J-2P);DPC患者组织中乳酸水平高于NDPC患者(图2K、2L)。非肿瘤糖尿病患者的外周血乳酸水平较健康对照组更高(图2J)。
为进一步研究乳酸对PDAC进展的影响,研究人员在胰腺特异性Ldha条件性敲除(Ldha-cKO)和Ldha敲除(Ldha-KO)小鼠中诱导糖尿病,并使用Pan02 sgLdha细胞建立原位肿瘤模型,同时使用腹腔注射的方式补充乳酸。结果显示,WT和Ldha-cKO糖尿病小鼠均发展为胰腺肿瘤,而Ldha-KO糖尿病小鼠则完全无肿瘤发生(图2Q-2U)。同时,外源补充乳酸完全恢复了Ldha-KO糖尿病小鼠的肿瘤生成能力。以上结果提示,乳酸是糖尿病微环境中推动肿瘤恶化的重要信号分子。

Fig2. DM介导的高乳酸促进PDAC进展
3
DPC组织中施旺细胞富集
研究人员对15周龄DM-KPC和NDM-KPC小鼠的胰腺组织进行了单细胞RNA测序(scRNA-seq),共鉴定出26个聚类,涵盖12种主要细胞类型:导管细胞、CD4+ T细胞、CD8+ T细胞、B细胞、腺泡细胞、内分泌细胞、内皮细胞、成纤维细胞、常规树突状细胞(cDC)、巨噬细胞、浆细胞和施旺细胞(图3A、3B)。
为精确定义施旺细胞,研究人员采用了已报道的肿瘤相关施旺细胞(TASc)标记(Ngfr、Cdh19和Gpm6b)以及非肿瘤施旺细胞的其他标记(Pcdh9、Prrx1和Lpar7)。施旺细胞聚类的功能富集分析确认其参与突触组装、轴突存活和神经发育。
同时,研究人员发现DM-KPC癌组织中导管细胞比例显著升高(45.45% vs 2.94%),而大多数免疫细胞(包括CD4+ T细胞、CD8+ T细胞和B细胞)比例显著降低(图3B)。根据Ro/e评分,施旺细胞是DM-KPC组织中第二丰富的细胞类型(图3C),与NDM-KPC相比,DM-KPC中施旺细胞比例显著升高(图3D)。鉴于TASc与PDAC不良预后的关联,研究人员进一步研究了这群施旺细胞,并将其命名为糖尿病相关TASc(DM-TAS),其余为非糖尿病TASc(NDM-TAS)。研究人员比较了DPC和NDPC患者及KPC小鼠中TASc免疫组化标记(S100B、GFAP和p75NTR)的水平,确认DPC组织中TASc显著富集(图3E-3G)。以上结果提示,糖尿病肿瘤中高乳酸微环境与TASc之间存在潜在关联。

Fig3. 单细胞施旺细胞图谱及其在DPC和NDPC中的表征
4
DPC组织中TASc亚群的特征
研究人员进一步对DPC组织中的TASc进行了表征,鉴定出了3个不同的亚群:c1亚群:表达Cd276、Mettl16和Nectin2(c1-Mettl16⁺Cd276⁺Nectin2⁺ TASc)、c2亚群:表达Dmd、Pak3和Pde10a(c2-Dmd⁺Pak3⁺Pde10a⁺ TASc)、c3亚群:表达 Vegfc、Cadps和Nebl(c3-Vegfc⁺Cadps⁺Nebl⁺ TASc)(图3H、3I)。其中,c1-Mettl16⁺Cd276⁺Nectin2⁺亚群在DM-TAS中的比例远高于NDM-TAS(65.87% vs 5.74%)。
进一步GO分析显示,c1-Mettl16+Cd276+Nectin2+施旺细胞在CD8+ T细胞抑制和免疫抑制因子相关通路中富集。在DPC和NDPC小鼠肿瘤组织以及人类肿瘤组织中,多重免疫组化(mIHC)证实METTL16、CD276和NECTIN2在TASc中存在强共定位(图3J)。
为验证乳酸是否通过c1-Mettl16⁺Cd276⁺Nectin2⁺ TASc促进DPC进展,研究人员构建了Gfap-Cre;DTR小鼠模型(该模型可实现TASc的特异性、可诱导性清除)。结果显示,在TASc缺失情况下,乳酸无显著促癌作用;低乳酸条件下,c1细胞未能显著促进肿瘤;外源乳酸补充可激活c1细胞的促癌潜能(图3L-3N)。以上结果提示,乳酸通过c1-Mettl16⁺Cd276⁺Nectin2⁺ TASc介导其促癌作用。
5
METTL16在施旺细胞中通过K269位点乳酸化发挥作用
鉴于METTL16作为m6A甲基转移酶的作用,研究人员推测m6A修饰可能介导TASc在高乳酸作用下向c1-Mettl16⁺Cd276⁺Nectin2⁺表型转变。
为验证上述猜想,研究人员从DPC和NDPC患者中分离了原代TASc(图4A),发现DM-TAS中m6A水平显著高于NDM-TAS(图4B)。在糖尿病和非糖尿病小鼠原位Pan02肿瘤模型中,外源补充乳酸可显著提高TASc中m6A水平(图4C-4G)。同时,抑制胰腺组织内源性乳酸的合成并不影响外源乳酸增强TASc中m6A水平的能力(图4H)。
生物素标记的乳酸下拉实验(Biotin-labeled lactate pull-down assays)和质谱分析显示,METTL16是DM-TAS中的乳酸结合蛋白(图4I、4J),且在较高浓度的生物素-乳酸条件下结合增强(图4K、4L)。体外结合实验结果显示METTL16的METTL10结构域与乳酸结合(图4M-4P)。研究人员通过分子对接技术预测出K269、N184、M167和D19为潜在乳酸化位点(图4P),并证实外源性乳酸可显著提升DM-TAS中METTL16蛋白的赖氨酸乳酸化(Kla)水平(图4Q)。突变实验表明,K269位点的乳酸化对于乳酸介导的m6A升高至关重要(图4R、4S)。
为进一步探索乳酸转运机制,研究人员构建了施旺细胞特异性Slc16a1/Slc16a3双条件性敲除(dcKO)Pan02糖尿病肿瘤模型【知识小课堂:SLC16A1(单羧酸运输体1,monocarboxylic acid transporter1,MCT1和SLC16A3(MCT4)等运输体促进肿瘤细胞中乳酸运输,在维持细胞内能量和pH平衡中发挥重要作用】。结果显示,这些小鼠体积减小,c1-Mettl16+Cd276+Nectin2+ TASc减少,BODIPY-乳酸摄取受损,METTL16乳酸化水平降低(图4T-4W)。
以上结果提示,外源乳酸通过MCT1/4进入TASc,与METTL16结合并诱导其K269位点乳酸化,从而提升m6A水平,驱动TASc重编程。

Fig4. 通过MCT1/MCT4外源性乳酸转运可增强METTL16介导的c1-Mettl16+Cd276+Nectin2+施旺细胞中m6A RNA甲基化
6
METTL16乳酸化通过m6A依赖的CTCF稳定来促进DPC
为研究乳酸-METTL16如何促进DPC进展,研究人员从DPC和NDPC中分离TASc(DM-TAS和NDM-TAS)。DM-TAS经乳酸处理后进行METTL16敲除,联合m6A MeRIP-seq和mRNA-seq分析(图5A),结果发现CTCF为乳酸-METTL16信号轴下游关键转录因子(图5B)。
外源乳酸处理显著提高了DM-TAS细胞中CTCF mRNA的表达水平及m6A修饰程度,METTL16敲除可阻断该效应,而过表达METTL16则进一步增强了CTCF的表达水平和m6A修饰富集(图5C、5D)。稳定性实验显示,乳酸和METTL16协同延长CTCF mRNA和蛋白半衰期,K269乳酸化是这一过程的关键(图5E-5G)。
功能验证实验中,研究人员在施旺细胞中敲除Mettl16或联合过表达Ctcf,并将其与Pan02共注射至糖尿病小鼠中。Mettl16缺失抑制DPC进展,而Ctcf过表达可恢复肿瘤生长(图S5E和S5F)。外源添加乳酸无法加速Mettl16缺失模型中的肿瘤发生,但在Ctcf过表达系统中仍具促癌作用(图S5E和S5F)。此外,单独过表达Mettl16-K269A突变体无法促进肿瘤进展,但同时过表达Ctcf可快速诱导肿瘤生长(图S5E和S5F)。

Fig5. 乳酸-METTL16轴通过稳定CTCF驱动DM-TAS的自主增殖和效应T细胞功能障碍
7
乳酸-METTL16轴削弱CD8⁺T细胞功能并降低肿瘤对PD-1免疫治疗的响应
为研究TASc对PD-1治疗的影响,研究人员采用白喉毒素(DT)系统耗竭TASc。为排除DT本身对免疫的影响,研究人员在WT和Gfap-DTR小鼠中预先给予DT或PBS,再建立原位Pan02肿瘤模型(图S6A)。结果显示,DT单独处理对肿瘤大小和CD8⁺T细胞功能无显著影响;在DM-Gfap-DTR小鼠中,DT介导的TASc耗竭显著抑制肿瘤进展并延长生存期(图6A-6C);增强了CTL浸润,促进了细胞毒性分子(IFNγ和GZMB)表达,减少了CD8⁺T细胞耗竭标志物(TIM3和PD-1)(图6D-6I)。以上结果提示,DM-TAS通过削弱CD8+ T细胞功能,从而降低了PD-1疗法的应答效果。
CD276和NECTIN2的激活已被报道可抑制PD-1阻断疗效。研究人员推测DM-TASc中CD276/NECTIN2高表达导致PD-1耐药。为验证该假设,研究人员将Pan02细胞原位植入DM-Mettl16 cKO或DM-Mettl16fl/fl小鼠中,并在抗PD-1治疗过程中同步补充乳酸(图6J)。结果显示,Mettl16缺失使DPC对PD-1阻断敏感,并抑制外源乳酸诱导的肿瘤进展(图6K、6L),CD276和NECTIN2表达下调,且不依赖于PD-1(图S7A),抗PD-1诱导的CD8⁺T细胞浸润和细胞毒性增强,T细胞耗竭减少(图6M-6R)。
为进一步验证CD276和NECTIN2在PD-1耐药中的作用,研究人员构建了TASc特异性Cd276和Nectin2双敲除(dKO)模型(图S7C)。结果显示,Cd276/Nectin2双敲除CD8⁺T细胞浸润增加、CTL功能增强、T细胞耗竭减少(图S7D-S7F),即PD-1治疗敏感性恢复。在Mettl16过表达的施旺细胞与Pan02共注射模型中,syrosingopine(MCT1/4抑制剂)可逆转PD-1耐药(图S7G–S7J),与Slc16a1/Slc16a3 dcKO小鼠结果一致(图4U)。以上结果提示,DM-TASc中乳酸-METTL16轴通过转录上调CD276和NECTIN2驱动PD-1免疫治疗耐药,靶向该轴可恢复治疗疗效。

Fig6. 抑制DM-TAS中的METTL16增强DPC对PD-1治疗的敏感性
8
DM-TAS中的METTL16作为DPC的治疗靶点
为评估METTL16在代谢应激条件下作为胰腺导管腺癌(PDAC)治疗靶点的潜力。研究人员采用腺相关病毒(AAV)作为载体干扰TASc中的METTL16,利用Gfap启动子特异性感染DM-C57BL/6小鼠的施旺细胞。结果显示,与对照组相比,经AAV9-Gfap-GFP-shRNA-Mettl16感染的DM-TAS细胞中METTL16基因的mRNA和蛋白水平均显著降低。
随后,研究人员将Pan02细胞或KPC细胞系注射到DM-C57BL/6小鼠的胰腺组织中,结果显示AAV9-Gfap-GFP-shRNA-Mettl16与抗PD-1治疗相结合,可有效抑制肿瘤生长,显著延长小鼠寿命(图7A-7C)。以上结果提示,抑制Mettl16与抗PD-1免疫治疗在延缓DPC进展方面具有协同效应。

Fig7. DM-TAS中的METTL16作为DPC的治疗靶点
9
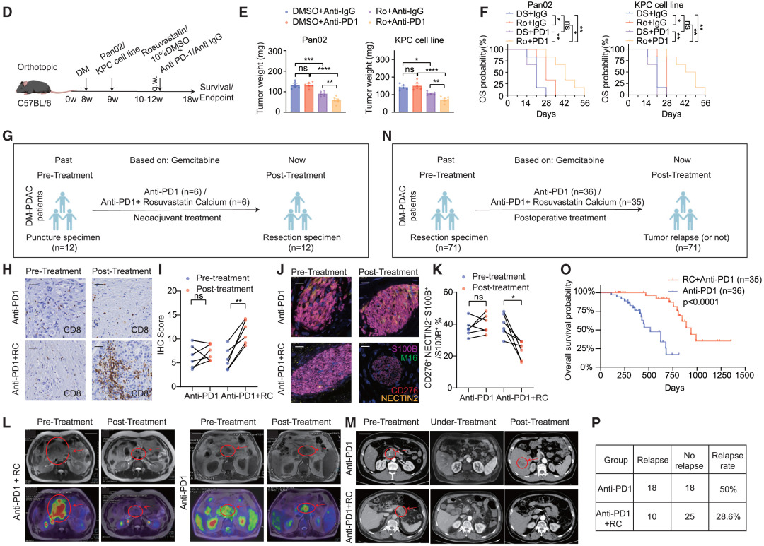
在DPC小鼠和DPC患者中,瑞舒伐他汀可抑制METTL16并增强对PD-1抗体治疗的应答
为寻找可快速用于临床的METTL16抑制剂,研究人员利用深度学习模型及均相时间分辨荧光(HTRF)分析筛选了1947种FDA批准药物,最终确定他汀类降脂药瑞舒伐他汀对METTL16抑制作用最强。为评估瑞舒伐他汀是否能增强抗PD-1疗法在DPC小鼠中的疗效,研究人员开展了瑞舒伐他汀单药治疗及与抗PD-1联合用药的实验。结果显示,单独使用瑞舒伐他汀可显著抑制肿瘤生长(图7D-7F),与抗PD-1联合治疗可进一步延缓DPC进展并改善预后,且未观察到毒性反应(图7D-7F)。
研究人员通过对TASc缺失的Gfap-DTR糖尿病小鼠进行了瑞舒伐他汀联合抗PD-1治疗,进一步探究了这种敏化效应是否依赖于TASc。结果显示,TASc耗竭后,瑞舒伐他汀单药仍有部分抑瘤作用,但不再增强PD-1疗效(图S7AA–S7AD),且联合治疗在NDM模型中未显示疗效(图S7AE–S7AG),以上结果表明瑞舒伐他汀的增敏作用依赖于DM-TASc。
两项回顾性临床分析证实了瑞舒伐他汀的临床获益。队列①:12名患有胰腺导管腺癌且有糖尿病史的患者,他们主要接受了以抗PD-1联合吉西他滨为主的术前新辅助治疗(图7G)。其中6例合并高脂血症,同时服用瑞舒伐他汀,结果显示,瑞舒伐他汀组肿瘤组织中CD8⁺T细胞浸润显著增加,TASc中METTL16、CD276、NECTIN2表达降低(图7H-7K);6个月随访显示瑞舒伐他汀组肿瘤负荷显著降低(图7L、7M)。队列②:71例DPC术后患者接受抗PD-1联合吉西他滨辅助治疗,其中35例合并高脂血症患者在辅助化疗期间服用瑞舒伐他汀(图7N),结果显示,瑞舒伐他汀组4年生存率显著提高,复发率降低(图7O、7P)。

Fig8. METTL16阻断增强DM-PDAC和DPC小鼠对免疫治疗的反应
本研究整合临床样本与多种小鼠模型,证实糖尿病相关胰腺癌(DPC)的代谢失衡以乳酸堆积为核心,且乳酸浓度越高,肿瘤进展越快、预后越差。单细胞转录组进一步揭示,癌组织内施旺细胞显著扩增,其中c1-Mettl16⁺Cd276⁺Nectin2⁺ 亚群是驱动免疫抑制和疾病恶化的关键群体。借助腺相关病毒(AAV)介导的基因干预或瑞舒伐他汀药理抑制 METTL16,均可显著增敏 PD-1 免疫治疗。综上,该研究首次阐明乳酸通过“重编程施旺细胞—抑制抗肿瘤免疫”这一全新轴心,并提供了“瑞舒伐他汀 + PD-1 抑制剂”这一可迅速进入临床的组合策略。

Fig9. 研究模式图
若您有相关需求,欢迎拨打400-728-0660热线,或通过南模生物微信公众号在线咨询,或致信marketing@modelorg.com。我们的专业团队将竭诚为您服务!
关于我们
上海南方模式生物科技股份有限公司(Shanghai Model Organisms Center, Inc.,简称"南模生物"),成立于2000年9月,是一家上交所科创板上市高科技生物公司(股票代码:688265),始终以编辑基因、解码生命为己任,专注于模式生物领域,打造了以基因修饰动物模型研发为核心,涵盖多物种模型构建、饲养繁育、表型分析、药物临床前评价等多个技术平台,致力于为全球高校、科研院所、制药企业等客户提供全方位、一体化的基因修饰动物模型产品解决方案。