14 年
手机商铺
技术资料/正文
118 人阅读发布时间:2025-11-05 15:29
膜性肾病(membranous nephropathy, MN)是成年人中非糖尿病性肾病综合征最常见的病因之一。约80%的病例为肾脏局限性(原发性MN),其余20%则与其他系统性疾病或外源性因素相关(继发性MN)。大约三分之一的患者可以达到缓解,三分之一的患者病情稳定,而另外三分之一的患者则会出现进行性的肾功能丧失和持续的蛋白尿[1]。
由基底膜下免疫复合物沉积引起的自身免疫反应是MN的主要致病机制。近年来,诸如磷脂酶A2受体(phospholipase A2 receptor,PLA2R)和含有血小板反应蛋白第1型结构域的蛋白7A((thrombospondin type I domain containing 7A,THSD7A)等自身抗原的发现,极大地推动了人们对MN发病机制的理解。其中,磷脂酶A2受体(PLA2R)在足细胞上表达,在约70%的原发性膜性肾病患者中作为抗原存在。这些抗原能够诱导以IgG4为主导的体液免疫反应,因此适合作为MN的诊断与监测指标。此外,补体系统的激活、遗传易感基因以及环境污染也被认为在MN的免疫反应中发挥一定作用。

图1. 原发性膜性肾病的发病机制[2]。
然而,小鼠和大鼠的肾小球足细胞不表达PLA2R1,因此缺乏能模拟人类PLA2R1相关MN的动物模型。2019年~2023年,Gunther Zahner及其团队发表过一系列研究,通过在足细胞过表达PLA2R1抗原,构建了三种基于PLA2R1抗体的膜性肾病小鼠模型。
被动免疫模型
研究人员构建了在小鼠足细胞中特异性表达全长小鼠PLA2R1的模型,即:mPLA2R1 positive(BALB/c)小鼠[3]。该小鼠本身无自发性肾病,但在注射Rabbit anti-mPLA2R1抗体后,观察到同步的抗体生成和蛋白尿;被动免疫3天后,尿蛋白开始有显著差异,21天后降回平均值。病理在第7天也有显著差异,同时观察到补体激活[3]。
局限性:
使用的是兔源性抗体,而非人类自身抗体。
为被动免疫模型,尚不能研究B细胞介导的自身免疫反应。

图2. mPLA2R1被动免疫模型[3]。
纯自发模型
研究人员构建了Rosa26-CAG-Stop-hPLA2R1(Balb/c)小鼠,通过与NPHS2-Cre小鼠交配,实现足细胞特异性表达人PLA2R1模型[4]。
在hPLA2R1 过表达小鼠中,尿蛋白从4周龄开始增加,肾脏IgG 沉积;同时对肾脏组织的抗体洗脱后能够结合human PLA2R1,表明小鼠对人PLA2R1蛋白发生了免疫反应。同时,3周龄的hPLA2R1 过表达小鼠在循环中有anti-PLA2R1 antibody产生,并随周龄增加。5~6周龄有腹水等,12周龄因小鼠状态终止实验,表现为严重的肾小球和肾小管间质损伤。且在Rag2-/-小鼠(缺乏T/B细胞)即使过表达hPLA2R1,也不产生抗体,也未出现蛋白尿或肾损伤,证明该模型是真正的自身免疫模型,而非转基因本身毒性[4]。
局限性:
疾病进展较快(6周内严重),可能不完全模拟人类慢性过程。

图3. hPLA2R1自发模型[4]。
主动免疫模型
由于纯自发模型发病过快,研究人员构建了“嵌合体”PLA2R1小鼠chPLA2R1(将人源PLA2R1的3个N端结构域“CysR、FnII、CTLD1”与鼠源PLA2R1的7个C端结构域CTLD2-8融合而构建),随后与NPHS2-Cre小鼠交配,实现足细胞特异性表达人PLA2R1模型。该模型通过主动免疫诱导产生抗PLA2R1抗体,成功模拟了人类PLA2R1相关膜性肾病的关键临床、免疫和组织学特征[5]。
该小鼠到6月龄无自发异常(无自发抗体产生、无蛋白尿、无肾损伤)。用人源PLA2R1蛋白+温和佐剂(TiterMax Gold)免疫该小鼠,抗人PLA2R1抗体于免疫后第5周出现(可能更早),识别位点与人类患者相似;蛋白尿从第3周开始升高,第6周显著加重,出现严重肾病综合征[5]。

图4. chPLA2R1主动免疫模型[5]。
南模生物膜性肾病模型
基于上述报道,南模生物通过在C57BL/6 背景下诱导足细胞特异性表达人源PLA2R1,建立了一种由抗体介导的自发膜性肾病模型。
这些小鼠自发地产生抗人源PLA2R1抗体,并表现为进行性白蛋白尿和高脂血症等肾病综合征典型特征。在病理形态方面,其肾组织呈现出典型的膜性肾病形态学特征:免疫荧光检测可见小鼠IgG在肾小球呈颗粒状沉积,电子显微镜下则观察到足细胞下方的电子致密沉积物。
该模型能精确模拟人类膜性肾病的病理特征,如肾小管足细胞的损伤、免疫复合物沉积、蛋白尿等,同时避免了Balb/c背景的人PLA2R1过表达小鼠死亡过快的情况,为研究PLA2R1在膜性肾病中的作用提供了有效工具。此外,南模正在继续开发BALB/c背景hPLA2R1过表达小鼠并内部测试阳性药效果,以为后续临床前药效评价提供参考。
R26-CAG-LSL-hPLA2R1-IRES-EGFP
NM-KI-220264

图5. R26-CAG-LSL-hPLA2R1-IRES-EGFP; NPHS2-Cre小鼠体重和存活率结果。足细胞特异性过表达人源PLA2R1的小鼠体重增长减缓,死亡率升高。

图6. R26-CAG-LSL-hPLA2R1-IRES-EGFP; NPHS2-Cre小鼠尿液生化结果。足细胞特异性过表达人源PLA2R1的小鼠从4周龄开始出现尿液生化指标异常(n=7/group)。

图7. R26-CAG-LSL-hPLA2R1-IRES-EGFP; NPHS2-Cre小鼠血生化结果。足细胞特异性过表达人源PLA2R1的小鼠从4/6周龄开始出现血液生化指标异常(n=7/group)。

图8. R26-CAG-LSL-hPLA2R1-IRES-EGFP; NPHS2-Cre小鼠肾脏hPLA2R1的免疫荧光染色。足细胞特异性过表达人源PLA2R1小鼠表现出持续的PLA2R1表达。

图9. R26-CAG-LSL-hPLA2R1-IRES-EGFP; NPHS2-Cre小鼠肾脏肾脏mIgG(绿色)与lamin A/C(红色)的免疫荧光染色。总体来看,足细胞特异性过表达人源PLA2R1小鼠肾脏IgG沉积增多,主要沿肾小球基底膜分布。

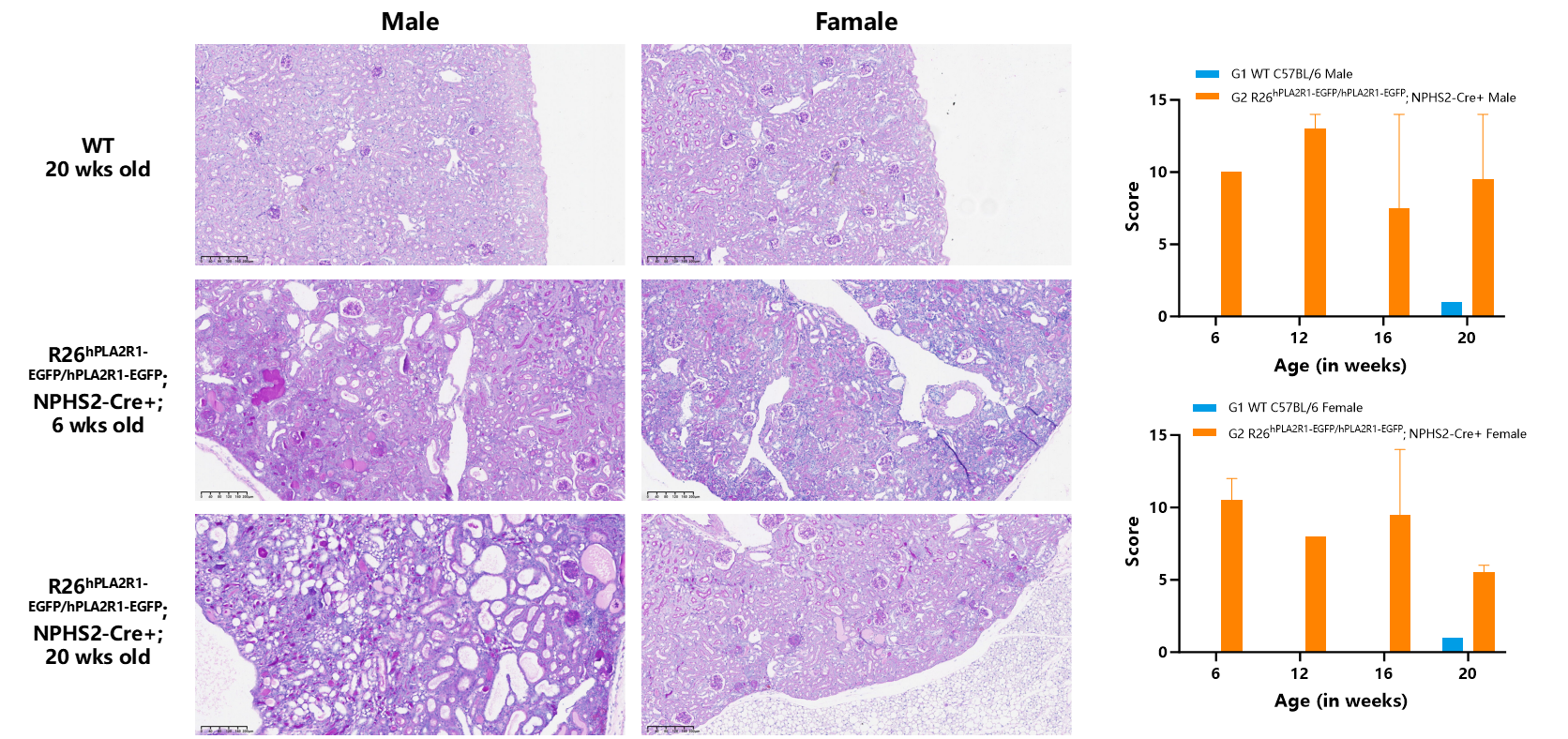
图10. R26-CAG-LSL-hPLA2R1-IRES-EGFP; NPHS2-Cre小鼠肾组织PSA染色与病理分析。足细胞特异性过表达人源PLA2R1小鼠出现明显肾损伤,包括间质损害、肾小管扩张、管型形成及基底膜增厚。
Reference:
[1] Fogo AB, Lusco MA, Najafian B, Alpers CE. AJKD Atlas of Renal Pathology: Membranous Nephropathy. Am J Kidney Dis. 2015 Sep;66(3):e15-7. doi: 10.1053/j.ajkd.2015.07.006. PMID: 26300203.
[2] Pan Y, Chen S, Wu L, Xing C, Mao H, Liang H, Yuan Y. Animal models of membranous nephropathy: more choices and higher similarity. Front Immunol. 2024 Oct 21;15:1412826. doi: 10.3389/fimmu.2024.1412826. PMID: 39497816; PMCID: PMC11532550.
[3] Meyer-Schwesinger C, Tomas NM, Dehde S, Seifert L, Hermans-Borgmeyer I, Wiech T, Koch-Nolte F, Huber TB, Zahner G. A novel mouse model of phospholipase A2 receptor 1-associated membranous nephropathy mimics podocyte injury in patients. Kidney Int. 2020 May;97(5):913-919. doi: 10.1016/j.kint.2019.10.022. Epub 2019 Nov 9. PMID: 32033781.
[4] Tomas NM, Dehde S, Meyer-Schwesinger C, et al. Podocyte expression of human phospholipase A2 receptor 1 causes immune-mediated membranous nephropathy in mice. Kidney Int. 2023;103(2):297-303. doi:10.1016/j.kint.2022.09.008
[5] Tomas NM, Schnarre A, Dehde S, et al. Introduction of a novel chimeric active immunization mouse model of PLA2R1-associated membranous nephropathy. Kidney Int. 2023;104(5):916-928. doi:10.1016/j.kint.2023.07.024
关于我们
上海南方模式生物科技股份有限公司(Shanghai Model Organisms Center, Inc.,简称"南模生物"),成立于2000年9月,是一家上交所科创板上市高科技生物公司(股票代码:688265),始终以编辑基因、解码生命为己任,专注于模式生物领域,打造了以基因修饰动物模型研发为核心,涵盖多物种模型构建、饲养繁育、表型分析、药物临床前评价等多个技术平台,致力于为全球高校、科研院所、制药企业等客户提供全方位、一体化的基因修饰动物模型产品解决方案。
欢迎通过以下方式联系我们:
💬 微信公众号「南模生物SMOC」在线咨询
📞 拨打400-728-0660
📧 发送邮件至marketing@modelorg.com