13 年
手机商铺
公司新闻/正文
432 人阅读发布时间:2023-11-21 09:35
前言
在生物医学研究中,精准定位想要研究的目的基因或细胞是至关重要的。为了实现这一目标,报告基因工具鼠成为了不可或缺的研究工具。然而,面对种类如此繁多的报告基因工具鼠,“科研汪”们早已眼花缭乱,选择困难症都犯了...别怕,小编今天就来为您答疑解惑啦!希望能帮您找到合适的“小帮手”,顺利开启科研之路!
什么是报告基因工具鼠?
报告基因工具鼠,顾名思义就是携带报告基因(reporter gene)的小鼠模型,它是利用基因工程技术手段,将报告基因整合到小鼠的基因组中构建而成。当报告基因表达时,我们可以借助实验仪器观察到其在组织或细胞水平的表达情况,从而实现在体内进行基因表达监测、细胞标记和谱系示踪等研究。
报告基因工具鼠在许多研究领域中得到了广泛的应用。在发育生物学研究中,研究人员可以利用报告基因工具鼠来观察特定基因在胚胎发育过程中的表达模式,从而揭示胚胎发育的机制。在神经科学领域,报告基因工具鼠可以帮助科学家研究神经元的发育和连接,揭示大脑功能和神经系统疾病的机制。在免疫学研究中,报告基因工具鼠可以用来研究免疫细胞的分化和活化过程,探索免疫应答的调控机制。
![图1. 报告基因工具鼠的部分应用场景[1].png 快看,这只小鼠会发光~](https://img1.dxycdn.com/p/s14/2025/1031/755/6336081061670893891.png)
图1. 报告基因工具鼠的部分应用场景[1]
体内研究常用的报告基因有哪些?
报告基因是那些能编码某种易于检测蛋白质或酶的基因,通过它的表达产物便捷、可靠、灵敏的来标定目的基因的表达调控。体内研究常用的报告基因包括β-半乳糖苷酶、荧光蛋白、荧光素酶等。
β-半乳糖苷酶
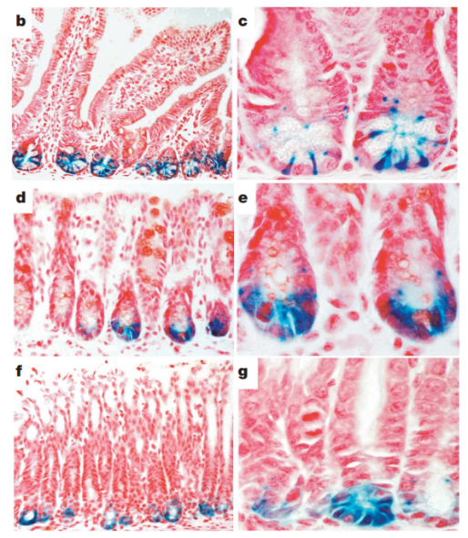
β-半乳糖苷酶(β-galactosidase,β-gal)由大肠埃希菌LacZ基因编码,是一种由四个四聚体组成的酶,每个四聚体的分子量为465kDa,可将无色化合物X-gal切割成半乳糖和深蓝色物质:5-溴-4-靛蓝。β-ga1常用于整体胚胎或组织切片的基因表达研究,因为利用β-gal进行胚胎的全身染色,可以充分了解某一基因在体内的表达谱全貌。
![图2. 利用lacZ检测Lgr5基因的表达情况[6].png 快看,这只小鼠会发光~](https://img1.dxycdn.com/p/s14/2025/1031/142/0869597135670893891.png)
图2. 利用lacZ检测Lgr5基因的表达情况[6]
荧光蛋白
荧光蛋白家族(fluorescent protein family)是从水螅虫纲和珊瑚类动物中发现的相对分子质量为(2~3)×104的同源蛋白,包括绿色、红色、黄色和青色荧光蛋白等,其中绿色荧光蛋白(green fluorescent protein,GFP)是应用最多的荧光蛋白。
荧光蛋白的发光原理在于其发色基团经一定波长的光(激发光)照射后被激活,并将能量以光能形式释放,这时我们就能在荧光显微镜下看到日思夜想的荧光色啦!荧光蛋白常用于研究目的基因表达,蛋白质运输以及各种细胞内动态的生物化学信号通路等。
![图3. 利用荧光蛋白研究心脏发育或再生机制[7].png 快看,这只小鼠会发光~](https://img1.dxycdn.com/p/s14/2025/1031/620/6372189603670893891.png)
图3. 利用荧光蛋白研究心脏发育或再生机制[7]
荧光素酶
荧光素酶(luciferase)是生物体内催化不同底物(如荧光素、腔肠素等)发射出荧光或催化脂肪醛氧化发光的一类酶的总称,其中最具代表性的是萤火虫荧光素酶(firefly luciferase,Fluc)和海肾荧光素酶(renilla luciferase,Rluc)。
萤光素酶可以催化自身底物氧化,在氧化过程中,一部分能量以光子形式被释放,从而发出生物荧光。只有活细胞内才会产生发光现象,且光的强度与标记细胞的数目成正比。因此,荧光素酶自发光的活体成像技术已被广泛应用于生命科学、医学研究及药物开发等领域。

图4. 活体成像示踪Il1a细胞因子的表达。
不同类型报告基因具有各自的优缺点(见表1)。在实际运用中,须结合研究的目的、信号检测的时间性与空间性、检测方法、组织与细胞的类别等选择适合的报告基因系统。

表1.体内研究常用报告基因的优缺点
如何将报告基因整合到小鼠基因组中?
一般而言,将外源基因引入小鼠基因组的方法有两种:转基因和基因敲入。
1.转基因
(1) 随机转基因
将含有报告基因的外源DNA片段克隆至PiggyBac(PB)转座子质粒中,与转座酶一起注射到小鼠受精卵中。在转座酶作用下,外源DNA片段将会被整合到基因组上的TTAA位点处,从而获得表达报告基因的小鼠。

图5. PB转座子系统
虽然利用PB转座子系统将外源基因敲入在转座酶识别位点,可以提高转基因的表达阳性率,但依然避免不了随机转基因随机整合的缺点。难道就没有一种既能明确而准确地插入外源基因又能保证表达的方法吗?答案是有的,那就是小编接下来要介绍的定点转基因。
(2) 定点转基因
定点转基因的关键就在于“定点”,Rosa26位点是目前最为常用的定点整合位点之一,将携带报告基因的DNA序列插入到小鼠的Rosa26位点上,可以保证报告基因在小鼠体内稳定表达。
在组成型表达的基础上,我们还可以借助重组酶系统构建条件性表达报告基因的小鼠模型。以Cre/loxP系统为例,首先在启动子和报告基因之间插入转录终止盒(lox-stop-lox)构建Flox鼠,同时构建特异性Cre鼠(由特定启动子驱动,可在特定细胞或组织表达Cre重组酶)。将上述两种小鼠交配后,子代中可以获得既带有Cre又带有Flox基因的小鼠,在表达Cre重组酶的细胞或组织中,终止盒被Cre重组酶切除,因此仅在这些细胞或组织中才会表达报告基因。
![图6. 条件性表达报告基因小鼠的构建示意图[8].png 快看,这只小鼠会发光~](https://img1.dxycdn.com/p/s14/2025/1031/130/8005959133670893891.png)
图6. 条件性表达报告基因小鼠的构建示意图[8]
2.基因敲入
与转基因不同,基因敲入是在小鼠内源基因的特定位点插入报告基因,可以更好地研究该基因的功能和调控机制。想要将外源报告基因敲入小鼠的内源基因,有以下三种方式:

图7. 基因敲入方式构建报告基因工具鼠策略图。
融合表达
将报告基因敲入到小鼠内源基因的5'端或3'端,与内源基因融合表达。
共表达
共表达的构建方式是将报告基因通过2A(自剪切多肽)或IRES(内部核糖体进入位点序列)元件敲入到小鼠内源基因的3'端。
取代表达
取代表达的构建方式则是用报告基因取代小鼠本身的基因,使敲除和敲入同时发生。
想必大家在选用共表达时,还会纠结IRES和2A元件要怎么选择?。小编对IRES和2A元件的优缺点进行了简要总结,供大家参考~
1 IRES
优点:IRES上下游的两个蛋白可以同时表达,并且翻译出的两个蛋白是完全独立的。
缺点:IRES的序列较长(约600bp),其应用常受到载体容量的限制。此外,IRES前后两个蛋白无法实现等量表达。通常情况下,下游蛋白的表达量仅为上游蛋白的10%~50%。
2 2A
优点:2A肽长度小且剪切效率极高,能够实现多蛋白的等量表达。
缺点:上游蛋白会多出20余个氨基酸的多肽尾巴,下游蛋白会在N端多出一个脯氨酸。这种额外增加的2A肽结构可能会对目的蛋白的功能造成一定的影响。
![图8. 连接元件IRES和2A的作用原理[9].png 快看,这只小鼠会发光~](https://img1.dxycdn.com/p/s14/2025/1031/504/6123554252670893891.png)
图8. 连接元件IRES和2A的作用原理[9]
由于IRES和2A肽都有着各自的优缺点,建议参考目的蛋白的相关文献报道,或依照经验进行构建。
听完小编的介绍,是不是迫不及待想要去找那个心仪的鼠鼠啦?
先别着急,为了帮您节省宝贵的时间和资金,南模生物特别推出了光标鼠®模型资源库,涵盖多种报告基因工具鼠成品模型,可提供丰富多样的选择。
此外,南模生物还可以提供报告基因工具鼠定制服务,如您有相关需求,详情请咨询南模生物官方网站www.modelorg.com,欢迎拨打400-728-0660或者关注微信公众号点击在线咨询,我们的专业团队将竭诚为您服务!
Reference:
[1] Kasatkina LA, Verkhusha VV. Transgenic mice encoding modern imaging probes: Properties and applications. Cell Rep. 2022;39(8):110845. doi:10.1016/j.celrep.2022.110845
[2] Li S, Chen LX, Peng XH, et al. Overview of the reporter genes and reporter mouse models. Animal Model Exp Med. 2018;1(1):29-35. Published 2018 Apr 19. doi:10.1002/ame2.12008
[3] Abe T, Fujimori T. Reporter mouse lines for fluorescence imaging. Dev Growth Differ. 2013;55(4):390-405. doi:10.1111/dgd.12062
[4] Spergel DJ, Krüth U, Shimshek DR, Sprengel R, Seeburg PH. Using reporter genes to label selected neuronal populations in transgenic mice for gene promoter, anatomical, and physiological studies. Prog Neurobiol. 2001;63(6):673-686. doi:10.1016/s0301-0082(00)00038-1
[5] 张禾璇,单可人,官志忠.报告基因研究及其应用进展[J].国际遗传学杂志, 2013, 36(1):7.DOI:10.3760/cma.j.issn.1673-4386.2013.01.002.
[6] Barker N, van Es JH, Kuipers J, et al. Identification of stem cells in small intestine and colon by marker gene Lgr5. Nature. 2007;449(7165):1003-1007. doi:10.1038/nature06196
[7] Li Y, Lv Z, He L, et al. Genetic Tracing Identifies Early Segregation of the Cardiomyocyte and Nonmyocyte Lineages. Circ Res. 2019;125(3):343-355. doi:10.1161/CIRCRESAHA.119.315280
[8] Cazemier JL, Clascá F, Tiesinga PH. Connectomic Analysis of Brain Networks: Novel Techniques and Future Directions. Front Neuroanat. 2016;10:110. Published 2016 Nov 9. doi:10.3389/fnana.2016.00110
[9] Gurumurthy CB, Saunders TL, Ohtsuka M. Designing and generating a mouse model: frequently asked questions. J Biomed Res. 2021;35(2):76-90. doi:10.7555/JBR.35.2020019