14 年
手机商铺
技术资料/正文
599 人阅读发布时间:2024-12-18 10:11
特应性皮炎(atopic dermatitis, AD),是一种以皮肤持续性瘙痒为特征的慢性、复发性的炎症性皮肤病。
它通常发生在儿童和青少年中,但也可能在成年人中出现。特应性皮炎的发病原因复杂,可能与遗传、环境、免疫等多种因素有关。
特应性皮炎模型评价指标
1.耳厚度和皮肤厚度变化
通过测量小鼠耳部和皮肤厚度的变化,可以评估模型的炎症程度和药物的疗效。
2.临床评分
包括红斑、皮肤厚度和结痂等指标,用于评估皮肤炎症的严重程度。
3.组织病理分析
通过苏木精和伊红(H&E)染色观察皮肤病理学变化,包括表皮的嗜酸性粒细胞浸润评分,以及表皮增生、增厚、角化过度伴角化不足、痂皮、真皮及皮下组织混合性炎性细胞浸润等特应性皮炎相关病理改变。
4.AD相关标志物检测
血清IgE水平检测;Th2细胞因子检测等
5.抓挠次数评价
特应性皮炎模型小鼠通常会表现出搔抓行为,通过定量分析这些行为可以评估瘙痒程度和药物的止痒效果。
南模生物特应性皮炎小鼠模型
南模生物长期致力于自身免疫性疾病相关研究,利用Oxazolone(OXA)和2,4-二硝基氟苯(2,4-dinitrofluorobenzene,DNFB)开发了多种特应性皮炎小鼠模型,为相关药物的药效评估和安全性评价提供了强有力的工具。
南模生物在BALB/c小鼠和hIL4/hIL4R(C57BL/6)人源化小鼠上,利用2,4-二硝基氟苯(DNFB)致敏和持续激发,建立AD疾病模型,用于AD相关药物的药效评价。部分数据如下:
DNFB诱导的
BALB/c小鼠特应性皮炎模型

图1.(A)造模方案;(B)小鼠背部耳朵皮肤情况;(C)血清总IgE浓度。实验结果显示DNFB诱导组的皮肤出现红斑结痂,血清IgE显著增加,用地塞米松(Dex)处理后有所缓解。数值以均值±标准误表示。

图2.(A)体重;(B)耳部厚度;(C)临床评分。结果显示,DNFB引起了耳部厚度和临床评分(红斑、皮肤厚度和结痂)的增加,而地塞米松(Dex)可以缓解这些症状。数值以均值±标准误表示。

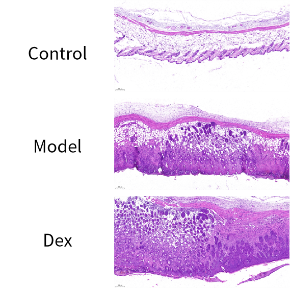
图3. 小鼠耳组织切片的苏木精-伊红(H&E)染色结果图。
DNFB诱导的
hIL4/hIL4R小鼠特应性皮炎模型

图4. (A)造模方案;(B)临床评分;(C)红斑情况评分;(D)皮肤厚度评分;(E)结痂情况评分。结果显示DNFB诱导组的皮肤出现红斑结痂,Dupilumab处理后有所缓解。数值以均值±标准误表示。

图5. (A)第10天血清IgE浓度;(B)第16天血清IgE浓度;(C)第12天抓挠时间;(D)第14天抓挠时间。结果显示,DNFB诱导组血清IgE显著增加,抓挠时间长,Dupilumab处理后有所改善。数值以均值±标准误表示。

图6. (A)小鼠第14天背部皮肤情况;(B)小鼠背部皮肤H&E染色结果图;(C)炎性细胞浸润评分。数值以均值±标准误表示。结果显示,DNFB诱导组炎性细胞增加,Dupilumab处理后有所改善。数值以均值±标准误表示。
南模生物还可提供OXA诱导的特应性皮炎小鼠模型
相关数据可前往南模生物微信公众号查看往期推文:探秘特应性皮炎小鼠模型:药物评估与科学研究的得力助手!
南模生物深耕基因编辑领域,提供全方位模式生物服务,包括基因修饰成品模型供应、个性化模型定制、饲养繁育、表型分析、药效评价等,满足不同实验室需求。若您有相关需求,欢迎拨打400-728-0660热线或于南模生物微信公众号在线咨询,我们的专业团队将竭诚为您服务!
关于我们
上海南方模式生物科技股份有限公司(Shanghai Model Organisms Center, Inc.,简称"南模生物"),成立于2000年9月,是一家上交所科创板上市高科技生物公司(股票代码:688265),始终以编辑基因、解码生命为己任,专注于模式生物领域,打造了以基因修饰动物模型研发为核心,涵盖多物种模型构建、饲养繁育、表型分析、药物临床前评价等多个技术平台,致力于为全球高校、科研院所、制药企业等客户提供全方位、一体化的基因修饰动物模型产品解决方案。