14 年
手机商铺
技术资料/正文
135 人阅读发布时间:2025-05-16 10:42
特应性皮炎(atopic dermatitis, AD),是一种以皮肤持续性瘙痒为特征的慢性、复发性的炎症性皮肤病。它通常发生在儿童和青少年中,但也可能在成年人中出现。特应性皮炎的发病原因复杂,可能与遗传、环境、免疫等多种因素有关。
特应性皮炎的发病原因复杂,可能与遗传、环境、免疫等多种因素有关。其中Th2免疫应答发挥了核心作用,如Th2细胞因子IL-4、IL-5和IL-13水平的上升,可以促进Th2免疫应答,最终导致炎症和组织损伤。目前,AD的常规治疗方法多使用糖皮质激素、抗组胺类药物和免疫抑制剂等,这些药物不但副作用多且停药后复发率高,严重影响了患者的健康及生活质量,因此急需寻找新的预防和治疗的方法。

图1. AD 的发病机制[1]
建立特应性皮炎动物模型对相关药物的研发至关重要。半抗原具有较强的穿透能力,可破坏皮肤屏障并与内源性蛋白质相结合,从而产生免疫原性半抗原复合物诱发免疫应答。短期刺激可引起小鼠Th1型细胞免疫为主的接触性过敏性皮炎,但多次长期刺激,导致皮肤炎症从典型的迟发型Th1为主向慢性Th2为主的炎症反应转变,常用的半抗原有2,4-二硝基氟苯(DNFB)、恶唑酮(Oxazolone,OXA)等。
基于上述构建原理,南模生物开发了一系列AD动物模型,数据稳定,可用于药物研发阶段的有效性验证。
其中OXA诱导C57BL/6、BALB/c小鼠AD模型,DNFB诱导的BALB/c、hIL4/hIL4R小鼠AD模型相关数据已在之前的推文中展现,感兴趣的朋友可点击下方链接查看:
/ OXA诱导的hIL4/hIL4R小鼠AD模型及Dupilumab药效评价/
部分数据如下:

图1. OXA诱导的hIL4/hIL4R小鼠AD模型及Dupilumab药效评价。(A)体重;(B)体重变化。

图2. OXA诱导的hIL4/hIL4R小鼠AD模型及Dupilumab药效评价。(A)第21天小鼠背部耳朵皮肤情况;(B)耳朵厚度变化;(C)临床评分。

图3. OXA诱导的hIL4/hIL4R小鼠AD模型及Dupilumab药效评价。(A)血清IgE浓度;(B)脾重量。

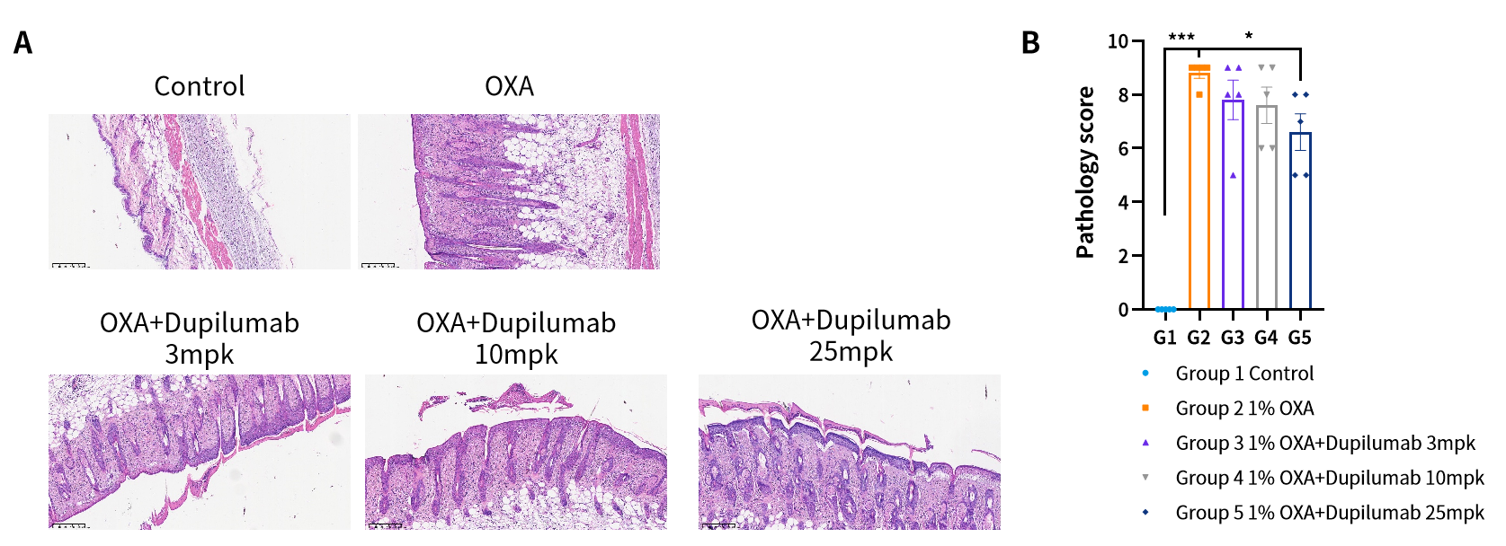
图4. OXA诱导的hIL4/hIL4R小鼠AD模型及Dupilumab药效评价。(A)H&E染色结果图;(B)病理评分。
除上述模型外,南模生物还可提供AD相关靶点人源化小鼠模型,助力新药研发。部分相关品系如下表:

如您有相关需求,欢迎拨打400-728-0660或者于微信公众号南模生物SMOC在线咨询,我们的专业团队将竭诚为您服务!
Reference:
[1] Schuler CF 4th, Tsoi LC, Billi AC, Harms PW, Weidinger S, Gudjonsson JE. Genetic and Immunological Pathogenesis of Atopic Dermatitis. J Invest Dermatol. 2024;144(5):954-968. doi:10.1016/j.jid.2023.10.019
关于我们
上海南方模式生物科技股份有限公司(Shanghai Model Organisms Center, Inc.,简称"南模生物"),成立于2000年9月,是一家上交所科创板上市高科技生物公司(股票代码:688265),始终以编辑基因、解码生命为己任,专注于模式生物领域,打造了以基因修饰动物模型研发为核心,涵盖多物种模型构建、饲养繁育、表型分析、药物临床前评价等多个技术平台,致力于为全球高校、科研院所、制药企业等客户提供全方位、一体化的基因修饰动物模型产品解决方案。