14 年
手机商铺
技术资料/正文
208 人阅读发布时间:2025-08-29 10:58
代谢相关脂肪性肝病(metabolic associated steatotic liver disease,MASLD),原称为非酒精性脂肪性肝病(non-alcoholic fatty liver disease,NAFLD),是一种以肝脏脂肪蓄积为特征的疾病,已成为全球最常见的慢性肝病,影响着全球约25%的人口。其中20-30%的MASLD患者会发展为更为严重的代谢相关脂肪性肝炎(MASH),意味着全球约有5-7.5%的人口可能患有MASH。
2008年,Romeo等通过全基因组关联分析(GWAS)发现PNPLA3基因SNP位点rs738409的C/G突变(对应PNPLA3蛋白第148位氨基酸148I、148M)与肝脏脂肪沉积相关,GG突变人群肝脏脂肪水平是其他人群的2倍[1]。此后,多篇文章研究反复验证PNPLA3 I148M与MASLD密切相关。
PNPLA3概述
PNPLA3(patatin-like phospholipase domain containing 3)基因编码一种称为adiponutrin的蛋白质,主要在肝脏和脂肪组织中表达,具有甘油三酯水解酶和乙酰辅酶A依赖性溶血甘油三酯酰基转移酶活性,在脂质代谢中发挥着重要调控作用。
以往较为流行的假说有两种,一种认为PNPLA3作为一种甘油三酯水解酶,148M突变会导致其活性下降,从而减少甘油三酯的水解,即功能缺失(loss-of-function)[2];另一种假说认为PNPLA3 148M突变会破坏PNPLA3的泛素化和蛋白酶体降解,最终导致蛋白在脂滴上积累,形成“占位效应”,即功能获得(gain-of-function)[3]。最新的研究发现[4],PNPLA3可以与肝脏中最重要的甘油三酯水解酶ATGL竞争其激活因子ABHD5,从而抑制肝脏中ATGL介导的脂质水解。正常情况下,PNPLA3的表达随着食物摄取而增高,在饥饿状态下则会快速降解。PNPLA3 148M 突变导致PNPLA3的泛素化降解减少,从而富集在脂滴表面,持续抑制ATGL的活性,导致肝脏中脂质的累积。最终驱动肝细胞气球样变、免疫细胞浸润及星状细胞活化,形成脂肪性肝炎-纤维化级联反应。

图1. PNPLA3 I148M 遗传变异与肝细胞脂肪肝病关联机制示意图[5]
靶向PNPLA3治疗策略
PNPLA3 I148M突变作为MASLD的治疗靶点,包括基因沉默、蛋白降解及小分子抑制策略,已成为全球肝病新药研发的前沿焦点。

图2. 潜在PNPLA3治疗策略示意图[5]
寡核苷酸药物:通过RNA干扰(如反义寡核苷酸、siRNA)降低PNPLA3突变蛋白表达,可改善肝脏脂肪变性和炎症。阿斯利康最近公布了AZD2693注射液的最新结果:AZD2693能有效降低肝脏 PNPLA3 mRNA(−89%)和肝脂滴上的蛋白质水平。在临床应用上,总体耐受性良好,没有出现因不良事件导致停药的情况,也未发生与治疗相关的严重不良事件。

图3. AZD2693临床结果概述[6]
小分子药物:辉瑞的PF-07853578是一种靶向PNPLA3 I148M突变体的小分子共价抑制剂,通过分子氨基甲酸酯基团与 PNPLA3 I148M 变体共价结合,促使突变蛋白从脂滴中清除,并进一步通过蛋白酶体途径降解致病蛋白。目前,PF-07853578已完成了1期临床试验(NCT05890105)。
蛋白降解:尽管目前尚无基于PROTAC(蛋白水解靶向嵌合体)技术的药物,但一项关键临床前研究成功开发了靶向PNPLA3的降解剂PROTAC 3。该分子结构包含两个关键域:E3泛素连接酶招募域和靶蛋白结合域。结果表明,在表达人源PNPLA3 148M突变蛋白的小鼠肝脏中,PROTAC 3处理显著降低突变蛋白水平,并改善了与突变蛋白表达相关的脂肪肝病。

图4. PROTAC介导的Halo-PNPLA3(148M)蛋白降解显著降低肝脏甘油三酯[7]
PNPLA3靶点药物研发现状
尽管目前全球尚未有靶向PNPLA3的药物获批上市,但该靶点因其在MASLD致病机制中的核心地位,已成为肝病领域最具潜力的突破方向之一。现有研发管线高度聚焦于基因特异性干预策略,其中siRNA/ASO等小核酸药物通过精准靶向PNPLA3 I148M突变等位基因,显著降低致病蛋白表达,已占据临床开发的主导地位。这种积极布局凸显出PNPLA3靶点的巨大市场潜力。
表1. 部分靶向PNPLA3靶点药物研发进展

* 不完全统计,数据来源于网络
南模生物相关小鼠模型
南模生物长期致力于药物靶点人源化模型研究领域,针对PNPLA3开发了一系列人源化小鼠模型,可用于MASLD临床前研究和药效评价。
表2. PNPLA3相关靶点人源化小鼠

Smagris等[8]人的研究中指出,仅在高糖饮食(high-sucrose diet,HSD)诱导下,PNPLA3I148M/I148M小鼠出现明显的脂肪肝表型。基于此,南模生物构建了HSD诱导的肝脏特异性过表达人源PNPLA3 I148M模型(目录号:NM-XA-242889),该模型表现出类人的脂肪肝特征,在高糖诱导下TG、T-CHO含量显著增加,并伴随脂肪变性、炎症浸润及纤维化。
此外,我们也在肝脏特异性过表达人源PNPLA3 I148M模型上通过GAN饮食诱导构建了MASH模型。
以上模型均适用于MASLD/MASH发病机制研究、靶向PNPLA3的新药药效评价及肝病治疗策略开发。
以HSD诱导的肝脏脂肪变性为例:

图5. qPCR检测肝脏中人PNPLA3的表达。结果显示,R26-CAG-LSL-hPNPLA3-I148M-EGFP; Alb-cre-Tg小鼠成功表达人PNPLA3。

图6. HSD诱导6周后各组小鼠肝脏中甘油三酯(TG)和总胆固醇(T-CHO)含量。结果显示,HSD饮食诱导下,肝脏特异性过表达hPNPLA3 I148M小鼠TG、T-CHO含量显著增加。

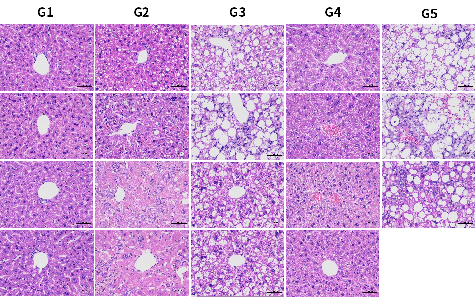
图7. HSD诱导6周后各组小鼠H&E染色代表图。结果显示,HSD饮食诱导下,肝脏特异性过表达hPNPLA3 I148M小鼠出现明显脂肪空泡(G3,G5)。

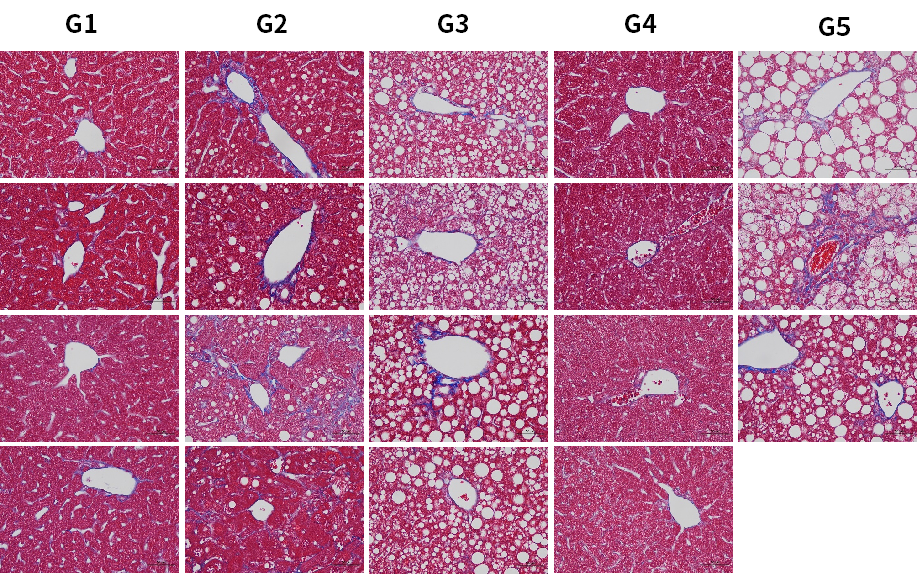
图8. HSD诱导6周后各组小鼠Masson染色代表图。结果显示,HSD饮食诱导下,肝脏特异性过表达hPNPLA3 I148M小鼠出现明显纤维化(G3,G5)。

图9. HSD诱导6周后各组小鼠油红O染色代表图。结果显示,HSD饮食诱导下,肝脏特异性过表达hPNPLA3 I148M小鼠出现明显脂滴(G3,G5)。
Reference:
1. Romeo S, Kozlitina J, Xing C, et al. Genetic variation in PNPLA3 confers susceptibility to nonalcoholic fatty liver disease. Nat Genet. 2008;40(12):1461-1465.
2. Pingitore P, Pirazzi C, Mancina RM, et al. Recombinant PNPLA3 protein shows triglyceride hydrolase activity and its I148M mutation results in loss of function. Biochim Biophys Acta. 2014;1841(4):574-580.
3. BasuRay S, Wang Y, Smagris E, Cohen JC, Hobbs HH. Accumulation of PNPLA3 on lipid droplets is the basis of associated hepatic steatosis. Proc Natl Acad Sci U S A. 2019;116(19):9521-9526.
4. Wang Y, Hong S, Hudson H, et al. PNPLA3(148M) is a gain-of-function mutation that promotes hepatic steatosis by inhibiting ATGL-mediated triglyceride hydrolysis. J Hepatol. 2025;82(5):871-881.
5. Cherubini A, Casirati E, Tomasi M, Valenti L. PNPLA3 as a therapeutic target for fatty liver disease: the evidence to date. Expert [5] Opin Ther Targets. 2021;25(12):1033-1043.
6. Armisen J, Rauschecker M, Sarv J, et al. AZD2693, a PNPLA3 antisense oligonucleotide, for the treatment of MASH in 148M homozygous participants: Two randomized phase I trials. J Hepatol. 2025;83(1):31-42.
7. BasuRay S, Wang Y, Smagris E, Cohen JC, Hobbs HH. Accumulation of PNPLA3 on lipid droplets is the basis of associated hepatic steatosis. Proc Natl Acad Sci U S A. 2019;116(19):9521-9526.
8. Opin Ther Targets. 2021;25(12):1033-1043.Smagris E, BasuRay S, Li J, et al. Pnpla3I148M knockin mice accumulate PNPLA3 on lipid droplets and develop hepatic steatosis. Hepatology. 2015;61(1):108-118.
关于我们
上海南方模式生物科技股份有限公司(Shanghai Model Organisms Center, Inc.,简称"南模生物"),成立于2000年9月,是一家上交所科创板上市高科技生物公司(股票代码:688265),始终以编辑基因、解码生命为己任,专注于模式生物领域,打造了以基因修饰动物模型研发为核心,涵盖多物种模型构建、饲养繁育、表型分析、药物临床前评价等多个技术平台,致力于为全球高校、科研院所、制药企业等客户提供全方位、一体化的基因修饰动物模型产品解决方案。