14 年
手机商铺
技术资料/正文
207 人阅读发布时间:2025-11-14 14:04
肥胖已成为全球重大公共卫生挑战。据《2025年世界肥胖报告》预测,2030年全球超重成年人(BMI≥25 kg/m²)将突破29亿,其中约11亿达到肥胖标准(BMI≥30 kg/m²)。作为2型糖尿病、高血压、冠心病、脑卒中及多种癌症的核心诱因,开发安全有效的干预手段已刻不容缓。
尽管司美格鲁肽(Semaglutide)、替尔泊肽(Tirzepatide)等多肽类药物在减重领域取得了重大突破,但其显著弊端在于:患者减去的体重中有约15-40%来自肌肉组织。这种肌肉的流失可能会降低基础代谢率、增加体重反弹风险,并加剧老年群体的衰弱与骨骼健康问题。
为此,新一代疗法正聚焦于"减脂增肌"的双重目标。目前活跃的研发方向涵盖激活素受体ACVR、肌肉生长抑素MSTN、抑制素亚基βE(INHBE)、Apelin受体APJ、甲状腺激素受体β(THRβ)、选择性雄激素受体调节剂(SARM)、瘦素leptin、黑色素受体MC4R、GDF15及Ghrelin受体等关键靶点。部分单靶点药物或GLP-1多靶点联合方案已进入I-III期临床试验阶段。

*数据来源于网络
从靶点到疗法,动物模型验证是不可或缺的关键环节。饮食诱导肥胖(diet-induced obesity,DIO)模型通过模拟人类高脂饮食致病进程,成为肥胖机制研究与药物筛选的经典工具。
DIO模型的构建受品系、性别、年龄、饮食等因素影响较大。

图.影响肥胖和糖尿病研究实验结果的主要因素[1]
品系:小鼠一般使用C57BL/6小鼠;大鼠一般选择Wistar和SD大鼠。
性别:雄性小鼠更容易发生DIO,并且比雌性小鼠进展更快且程度更大。饮食诱导的胰岛素抵抗性别差异显著,雄性小鼠和雄性大鼠受影响更大。
年龄:C57BL/6小鼠体重随着年龄增长而增加,9个月达到高峰。较3月龄小鼠,22月龄小鼠肌肉比重减少而脂肪比重增加。另一个重要因素是饮食干预开始时鼠的年龄,若小鼠年龄较小(<8周,经验值)时开始喂养HFD,则随后的肥胖和肥胖症表型并不会特别明显。
饲料:高热量饲料、高脂饲料都是笼统的概念,如果热量/脂肪含量过高,动物适应差,会需要更长的时间来诱导,甚至出现越来越瘦的现象。此外还要注意脂肪类型,轻微的饮食差异就可以极大地影响代谢参数和实验结果。Research Diets开发的含有60%脂肪供能的高脂纯化饲料D12492,已发展成为大小鼠DIO模型造模的黄金标准[2]。
南模生物相关小鼠模型及药效服务
南模生物通过Research Diet D12492高脂饲料诱导C57BL/6及相关靶点人源化小鼠,成功构建了肥胖模型。该模型能有效模拟人类肥胖及其代谢异常,为评估兼具减重、改善胰岛素抵抗及“减脂增肌”效应的候选药物提供可靠的临床前研究平台。
01
高脂饮食(HFD)诱导的DIO模型

图. HFD诱导的DIO小鼠的体重(B)、GTT(C)及血脂检测(D)。结果显示,DIO小鼠体重相较对照组明显增加,并出现明显的糖耐量异常及血脂异常。

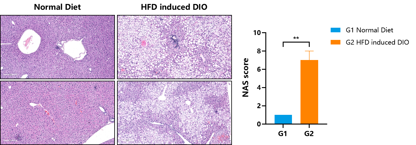
图. HFD诱导的DIO小鼠的肝脏病理学检测。结果显示,DIO小鼠出现明显的脂肪病变。
Semaglutide与Bimagrumab联合给药对DIO模型的减脂增肌效果评估

图. Semaglutide与Bimagrumab联用对HFD诱导的DIO小鼠体重(A)、摄食量(B)及体成分(C-D)的影响。结果表明,Semaglutide与Bimagrumab联用可显著降低DIO小鼠的体重,降低脂肪含量,挽救Semaglutide对于肌肉的丢失。

图. Semaglutide与Bimagrumab联用对HFD诱导的DIO小鼠肝脏和各脂肪组织重量的影响。结果表明,Semaglutide与Bimagrumab联用可显著降低DIO小鼠的降低脂肪含量。
不同药物对HFD诱导的DIO模型的减脂增肌效果评估

图. Semaglutide、Tirzepatide及与Bimagrumab联用对HFD诱导的DIO小鼠体重和摄食量的影响。结果显示,Tirzepatide和Bimagrumab联用有更好的减重效果。

图. Semaglutide、Tirzepatide及与Bimagrumab联用对HFD诱导的DIO小鼠体成分的影响。结果显示,Bimagrumab能显著逆转 Semaglutide以及Tirzepatide减肌的副作用,挽救肌肉的丢失。
02
基于人源化hINHBE小鼠诱导的DIO模型

图. HFD诱导的人源化hINHBE肥胖小鼠的体重(A)及体脂检测(B、C)。结果显示,hINHBE肥胖小鼠体重较对照组显著增加。

图. HFD诱导的人源化hINHBE肥胖小鼠的血脂四项(A)、胰岛素水平(B)及葡萄糖耐量(C)检测。结果显示,hINHBE肥胖小鼠血脂四项出现异常,胰岛素水平显著升高,糖耐量显著受损。
INHBE siRNA药物对HFD诱导的hINHBE肥胖小鼠的药效评估

图. INHBE siRNA药物处理后对小鼠体重(A)、糖耐量(B)、肝脏INHBE mRNA水平(C)及各脂肪组织重量(D)的影响。结果显示,siRNA药物处理后,hINHBE肥胖小鼠的体重降低,糖耐量有所改善,肝脏INHBE的mRNA水平降低,脂肪含量降低。
AC004285对HFD诱导的hINHBE肥胖小鼠的药效评估

图. AC004285药物处理后对小鼠体重(A)、摄食量(B)、肝脏INHBE mRNA水平(C)及体成分(D)的影响。结果显示,AC004285药物处理后,hINHBE肥胖小鼠的体重降低(A),肝脏INHBE的mRNA水平降低(D),脂肪含量降低(E-F)。
此外,南模生物开发了系列靶点人源化小鼠,可用于当前肥胖疾病减脂增肌药物的临床前研究。部分列表如下:

南模生物代谢/心血管疾病评价平台
南模生物代谢/心血管疾病评价平台由多位经验丰富的专家领衔,拥有多种经典的代谢模型并具有强大的模型开发能力,可提供肥胖、糖尿病、动脉粥样硬化及MASH等代谢疾病模型与其药效评价服务。

Reference:
1. Kleinert M, Clemmensen C, Hofmann SM, et al. Animal models of obesity and diabetes mellitus. Nat Rev Endocrinol. 2018;14(3):140-162. doi:10.1038/nrendo.2017.161
Tang, Haiying et al. “High-resolution magnetic resonance imaging tracks changes in organ and tissue mass in obese and aging rats.” American journal of physiology. Regulatory, integrative and comparative physiology vol. 282,3 (2002): R890-9. doi:10.1152/ajpregu.0527.2001
关于我们
上海南方模式生物科技股份有限公司(Shanghai Model Organisms Center, Inc.,简称"南模生物"),成立于2000年9月,是一家上交所科创板上市高科技生物公司(股票代码:688265),始终以编辑基因、解码生命为己任,专注于模式生物领域,打造了以基因修饰动物模型研发为核心,涵盖多物种模型构建、饲养繁育、表型分析、药物临床前评价等多个技术平台,致力于为全球高校、科研院所、制药企业等客户提供全方位、一体化的基因修饰动物模型产品解决方案。
欢迎通过以下方式联系我们:
💬 微信公众号「南模生物SMOC」在线咨询
📞 拨打400-728-0660
📧 发送邮件至marketing@modelorg.com