14 年
手机商铺
技术资料/正文
106 人阅读发布时间:2026-02-04 10:49
2026年2月4日是第27个“世界癌症日”,今年的主题为“以人为本,携手抗癌”。这一主题旨在提升公众癌症防治知识知晓率与自我防护意识,凝聚社会各界抗癌合力,推动我国癌症防控事业高质量。

2025年,癌症疗法研发迎来了爆发期——美国FDA批准了50多款抗癌药物,位于研发管线的药物更是数不胜数。而2026年,癌症治疗领域还会迎来新的革命,各类疗法均有望通过提供更持久的疗效、更高的精准度和更少的副作用,改变癌症患者的治疗方式。
高效药物研发的基石,在于拥有能够真实模拟人类肿瘤的动物模型。它为新药候选物的筛选与药效评价提供了可靠依据,是抗癌药物研发竞争中赢得先机的关键工具。

图1. 小鼠癌症模型在肿瘤疗法开发中的应用
南模生物打造了全面专业的抗肿瘤药效评价平台,拥有数百种肿瘤药效评价模型,可为客户提供候选药物筛选、药理药效评价、药代动力学评价、早期毒理评价等临床前服务项目。
基因修饰原发肿瘤模型
基因修饰原发肿瘤小鼠模型是通过改造小鼠基因而构建的原发肿瘤模型。通常针对小鼠的原癌基因/抑癌基因进行基因修饰,干扰或调节其表达规律,诱发肿瘤模型。该类模型的优势在于可以模拟肿瘤早期进展特征和自发肿瘤转移,在肿瘤的发生机制研究、肿瘤药物筛选和评估以及免疫治疗研究中发挥了重要的作用。

图2. 基因修饰原发肿瘤模型模式图
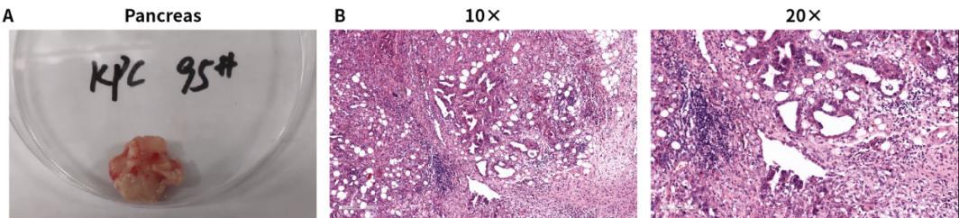
KPC自发胰腺癌小鼠模型

图3. KPC小鼠模型的自发式性胰腺癌体和HE染色结果。胰腺表面不平整,多个结节状突起;细胞排列无序,组织结构呈不规则细胞团,可见胰腺导管增生,炎症细胞浸润,间质纤维形成,符合肿瘤组织结构特征

图4. KPC-luc皮下移植小鼠模型与药效检测。KPC小鼠瘤块来源的细胞系的抗肿瘤药效评价(宿主小鼠对为C57BL/6小鼠)。a. 药效成瘤曲线, b. 药效体重曲线, c. 肿瘤照片
更多基因修饰原发肿瘤模型请点击:
基因修饰原发肿瘤小鼠模型,为您的科研一键加速!
靶点人源化同系/同种移植瘤
小鼠模型
同系/同种移植瘤小鼠模型(Syngeneic models/Allograft models)是将同种背景来源的肿瘤细胞系或小鼠肿瘤组织接种至免疫健全的近交系小鼠体内形成的移植瘤模型。同系/同种移植瘤小鼠模型免疫系统健全,可用于研究肿瘤的免疫治疗,常用于需要完整免疫系统的药效研究。
由于野生型小鼠正常组织细胞不具备相关人源靶点,不是评价该类药物的最佳动物模型。为解决这一痛点,南模生物特别推出了靶点人源化小鼠+靶点人源化细胞系的肿瘤模型,是评价抗体靶向药物药效和安全性的理想模型。

图5. 鼠源细胞系与靶点人源化鼠源细胞系

图6. 靶点人源化小鼠
接种MC38-hEpCAM的hCD3EDG
小鼠肿瘤模型

图7. 接种MC38-hEpCAM的hCD3EDG小鼠的抗肿瘤药效评价。a. 抗肿瘤药效评价, b.CD3双特异性抗体的活化诱导的细胞死亡(AICD)和免疫相关不良事件(irAE)评估
更多靶点人源化同系移植瘤模型请点击:
U-HuDTMbase®来袭!为您提供专“鼠”药物研究革命性模型
CDX模型
细胞系来源的异种移植肿瘤模型 (Cell line-derived xenograft, CDX) 是将体外培养的人源肿瘤细胞接种至免疫缺陷小鼠体内而构建的模型,其具有建模时间短,重复性好,成本低等特点。基于细胞系的肿瘤模型作为经典的体内实验方法,在肿瘤学研究和抗肿瘤药物研发过程中有着极大的需求。
南模生物拥有丰富的免疫缺陷小鼠资源与庞大人类肿瘤细胞系资源库,可为您提供多种CDX模型,助力您的实验进程。

图8. 南模生物常规免疫缺陷大小鼠品系与可接种细胞系
基于CDX模型的mRNA细胞疗法
抗肿瘤药效验证

图9. 利用B淋巴白血病细胞系(Nalm6-Luc)CDX模型进行mRNA抗肿瘤药物药效验证实验
更多CDX模型请点击:
关于CDX模型,这些知识点你必须了解!
PDX模型
人源性组织异种移植模型(Patient-derivedxenografts , PDX)是将肿瘤患者的肿瘤组织移植至重症免疫缺陷型小鼠体内而形成的模型。PDX模型可以较完整地保持患者肿瘤原有的生物学特征、病理分型、分子标志物表达、基因突变类型等,在临床前实验中应用广泛。

图10. PDX构建模式图
基于肺癌PDX模型的抗肿瘤药效验证

图11. 肝癌PDX模型在M-NSG 小鼠上的成瘤验证与病理检测结果

图12. 肝癌PDX小鼠模型的体内药效*。a-c.每组小鼠的相对肿瘤体积、小鼠体重、相应的存活百分比
*数据来源:Nature Communications volume 10, Article number: 240 (2019)
免疫重建异种移植瘤模型
南模生物自主研发的M-NSG重度免疫缺陷小鼠,可高效移植Hu-HSC、Hu-PBMC,实现在小鼠体内重塑人源免疫系统。这些免疫系统人源化的小鼠模型可以更好地模拟人体免疫特征,是研究人体免疫功能、传染病、糖尿病、肿瘤免疫、干细胞生物学等的重要工具。

图13. 免疫重建模型构建示意图

图14. 免疫重建模型构建示意图
基于人小细胞肺癌Hu-PBMC模型
的抗肿瘤药效验证

图15. 利用人小细胞肺癌(SHP-77)Hu-PBMC模型进行CD3-DLL3双抗药物体内药效研究
基于乳腺癌Hu-HSC模型的抗肿瘤
药效验证

图16. 利用乳腺癌(MDA-MB-231)Hu-HSC模型进行抗体药物体内药效研究
从基因修饰原发肿瘤模型到移植瘤模型,这些多样化的动物模型为肿瘤药物研发奠定了坚实基础。依托于此,南模生物打造了覆盖全面的肿瘤药效评价平台,凭借丰富模型资源与专业服务能力(包括药效筛选、药代/毒理评价等),全力赋能新药临床前开发。
关于我们
上海南方模式生物科技股份有限公司(Shanghai Model Organisms Center, Inc.,简称"南模生物"),成立于2000年9月,是一家上交所科创板上市高科技生物公司(股票代码:688265),始终以编辑基因、解码生命为己任,专注于模式生物领域,打造了以基因修饰动物模型研发为核心,涵盖多物种模型构建、饲养繁育、表型分析、药物临床前评价等多个技术平台,致力于为全球高校、科研院所、制药企业等客户提供全方位、一体化的基因修饰动物模型产品解决方案。