14 年
手机商铺
技术资料/正文
82 人阅读发布时间:2026-02-28 10:34
2026年2月28日是第19个国际罕见病日。今年全球主题:“More than you can imagine”(不止罕见),旨在呼吁社会关注罕见病群体的多元需求与生命价值。
根据《中国罕见病定义研究报告 2021》,罕见病指:新生儿发病率小于0.01%、患病率小于0.01%、患病人数小于14万的疾病。世界卫生组织则将患病人数占总人口0.065%-0.1%之间的疾病界定为罕见病。目前全球已知罕见病已超7000种,我国现有罕见病患者超2000万人,每年新增患者逾20万人。截至2025年6月,我国已有207种罕见病纳入官方目录。

稳定可靠的罕见病动物模型的建立与供应,对于罕见病的发病机制研究、药物靶点研究以及治疗效果评价等方面都具有不可估计的潜力。南模生物依托基因编辑技术,构建了覆盖多种疾病的模型体系,为攻克罕见病提供了关键模式动物工具:
Alport综合征
Alport综合征是一种临床表现以血尿、蛋白尿、进行性肾功能减退为特征,部分患者合并感音神经性耳聋、眼部病变等肾外表现的综合征,所以又称眼-耳-肾综合征。该病是由编码Ⅳ型胶原α3、α4、α5链的COL4A3、COL4A4和COL4A5基因突变导致。α3、α4、α5链形成三螺旋结构,与其他三螺旋紧密结合形成肾小球基底膜(GBM)。COL4A5 基因具有一个致病性突变或COL4A3 或者COL4A4基因具有两个致病性突变,会导致高度有序的GBM逐渐分解,这种变化加速了肾小球硬化,进而导致肾功能不全。
南模生物自主构建了Col4A5-R471X(NM-KI-200183)小鼠模型,可用于Alport疾病的相关机制研究需求,为相关药物的药效评估和安全性评价提供了强有力的工具。
验证数据:

图1. Col4a5-R471X小鼠尿液(A)和血液(B)生化指标的检测结果(n=2只雄性,6只雌性)。

图2. 21周龄Col4a5-R471X小鼠尿液(A)和血浆(B)生化指标的检测结果(每组n=3)。(验证数据由合作伙伴提供)

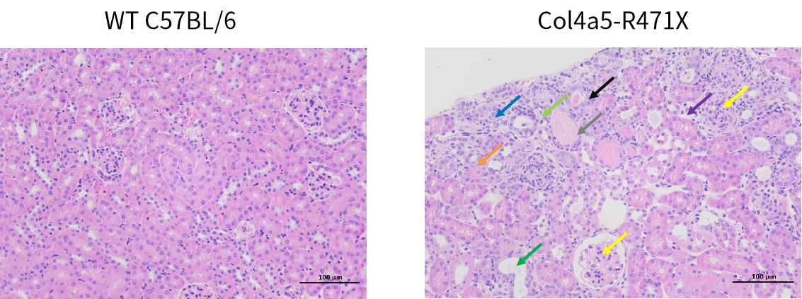
图3. 23周龄Col4a5-R471X小鼠H&E染色结果。

图4. Col4a5-R471X小鼠在Ramipril治疗期间尿液(A)和血液(B)生化指标的影响(开始治疗时小鼠年龄为6周,每组雄性4-5只,雌性4-5只)。 (*P<0.05,**P<0.01,***P<0.001)
更多数据可前往南模生物官网查看
转甲状腺素蛋白淀粉样变性心肌病
转甲状腺素蛋白淀粉样变性心肌病(ATTR-CM)是一种系统性淀粉样变性疾病,是一种进行性疾病,由转甲状腺素蛋白解离成单体并错误折叠为淀粉样物质后沉积在心肌间质所致。目前,针对ATTR-CM致病机制的药物研发主要集中在三个方向:1)TTR mRNA敲低和/或沉默;2)稳定TTR四聚体;3)TTR淀粉样蛋白原纤维破坏和/或提取。
由于大多数核酸疗法均作用于人源TTR基因,考虑到动物和人在基因上的差异性,将小鼠基因进行人源化修饰将有助于加速靶向TTR的疗法迈入临床阶段。南模生物自主构建了hTTR(NM-HU-225087),hTTR-V30M(p.V50M)(NM-HU-220587)人源化小鼠模型,为相关药物的药效评估和安全性评价提供了强有力的工具。
验证数据:

图5. hTTR小鼠中利用ELISA检测人TTR(A)和小鼠TTR(B)在血清中的表达。(8-12周龄,n=5)

图6. hTTR-V30M(p.V50M)小鼠中利过ELISA检测血清中人TTR(A)和小鼠TTR(B)的表达(7-8周龄,n=4)。
免疫球蛋白G4相关疾病
免疫球蛋白G4相关疾病(IgG4-RD)是一种累及全身多器官的慢性炎症伴纤维化疾病,典型表现为受累器官(如唾液腺、胰腺、胆管)的肿瘤样肿大及IgG4+浆细胞浸润。其发病与Th2细胞异常活化、B细胞过度增殖相关,可导致血清IgG4水平升高及纤维化。
南模生物自主构建了Lat-Y136F(NM-KI-200249)点突变小鼠模型,该模型将小鼠LAT基因第136位的酪氨酸替换为苯丙氨酸,小鼠表现出淋巴细胞增殖紊乱,多种Th2型细胞因子的高表达,B细胞大量活化,血清IgG1和IgE水平升高等症状,这些表型与IgG4-RD的病理学基础十分相似。该模型可用于免疫球蛋白G4相关疾病的相关机制研究需求,为相关药物的药效评估和安全性评价提供了强有力的工具。
验证数据:

图7. 纯合Lat-Y136F小鼠血清中IgG1和IgE水平(n=3-5)。 (***P<0.001)

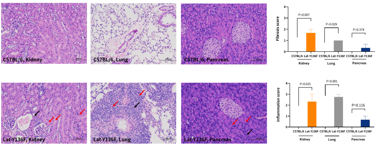
图8. 纯合子Lat-Y136F小鼠多器官的组织病理学分析(n=3-4)。(比例尺=100μm;放大倍数,200×)

图9. 纯合子Lat-Y136F小鼠在治疗3周后的血清IgG1水平和体重(n=5)。

图10. 7周龄纯合子Lat-Y136F小鼠在prednisolone治疗后脾脏和肠系膜淋巴结的湿重及照片。(n=5)
更多数据可前往南模生物官网查看
法布雷病
法布雷病(Fabry disease,FD)又称“Anderson-Fabry disease”。它是一种X连锁隐性遗传的溶酶体贮积症(Lysosomal storage disorders,LSD),即属于遗传性代谢疾病。FD影响男性和女性的发病率为1:40,000-1:117,000,但新生儿筛查显示男性发病率更高,为1:3100-1:1250。然而,由于FD症状无特异性且罕见,通常在病情晚期才能被诊断出来,这给疾病的诊断、预防、治疗和预后带来了极大的挑战。
南模生物自主构建了Gla-KO(NM-KO-200601)小鼠模型,助力法布雷病的的相关机制研究需求,为相关药物的药效评估和安全性评价提供了强有力的工具。
验证数据:

图11. RT-PCR(A)和qPCR(B)检测大脑中Gla基因的表达。

图12. 14周龄雄性Gla-KO小鼠血清中GLA酶活性(A)和溶酶体Gb3水平(B)的检测。(验证数据由合作伙伴提供)

图13. 14周龄雄性Gla-KO小鼠的热板实验。(验证数据由合作伙伴提供)
杜兴肌营养不良症
杜兴肌营养不良症(Duchenne Muscular Dystrophy,DMD)是一种X-连锁隐性遗传、致死性肌肉疾病,由位于Xp21的抗肌萎缩蛋白Dystrophin突变引起。我国每年约有400-500例DMD患儿出生,患者一般3岁左右发病,出现行动困难,走路摇摆等症状,随着病情加重,多数患者在12岁左右丧失独立行走能力;30岁前因呼吸系统并发症或心力衰竭而死亡。
南模生物自主构建了Dmd基因点突变模型Dmd-Q995X(NM-KI-18026),该小鼠抓力显著降低,并且骨骼肌肌间隙变宽,肌纤维大小不一,细胞核聚集,炎性细胞浸润,表现出了DMD的症状。
验证数据:

图14. (A)Dmd-Q995X小鼠HE染色,(B)肢体抓力测试。
苯丙酮尿症
苯丙酮尿症(PKU)是一种常见的常染色体隐性遗传性氨基酸代谢障碍疾病。其发病机制是由于苯丙氨酸(PA)代谢途径中的酶缺陷,导致苯丙氨酸无法正常转化为酪氨酸,从而引起苯丙氨酸及其代谢产物酮酸在体内积累,并大量从尿液中排出。大多数苯丙酮尿症和高苯丙氨酸血症(HPA)的发病原因是位于染色体12q23.2上的PAH基因发生突变。未经治疗的苯丙酮尿症患者通常会出现智力发育障碍、精神神经症状、湿疹、皮肤抓痕征、色素脱失、鼠尿气味以及脑电图异常等主要临床表现。
南模生物通过基因编辑技术成功构建了Pah-KO(NM-KO-2110565)与Pah-R408W(NM-KI-225103)小鼠模型。该模型表现出苯丙酮尿症的典型症状,可作为研究苯丙酮尿症相关机制和治疗方法的重要工具。
验证数据:

图15. Pah-KO小鼠的基础表型检测。A. 小鼠外形特征;Pah-KO小鼠毛发颜色更浅; B. 小鼠体重分析; C. 小鼠脑重分析显示; D. Pah-KO小鼠血生化检测; E. 爬杆实验检测小鼠运动能力。

图16. Pah-R408W突变小鼠的基础表型检测。A. 小鼠外形特征;B. 小鼠体重分析;C. 小鼠脑重分析;D. Pah-R408W小鼠血生化检测;E. 转棒实验与爬杆实验检测小鼠运动能力。
溶酶体酸性脂肪酶缺乏症
溶酶体酸性脂肪酶缺乏症(lysosomal acid lipase dificiency,LAL-D)是一种罕见的、慢性的、逐渐加重的常染色体隐性遗传性疾病。LIPA基因会出现错义突变、无义突变、插入/缺失、剪接位点突变、复杂重组等,导致溶酶体酸性脂肪酶(lysosomal acid lipase,LAL)活性缺失或严重不足(<1%的正常活性)。LAL功能缺失或降低,使溶酶体降解低密度脂蛋白、胆固醇酯和三酰甘油的功能丧失或降低,胆固醇酯和三酰甘油在组织细胞内贮积,血浆胆固醇水平升高,进而导致内脏器官出现黄色瘤样变化。
南模生物长期助力罕见病基因治疗研究,构建了Lipa-KO(NM-KO-201298)溶酶体酸性脂肪酶缺乏症模型,助力溶酶体酸性脂肪酶缺乏症相关机制研究需求,为相关药物的药效评估和安全性评价提供了强有力的工具。
验证数据:

图17. Lipa-KO小鼠体重变化及不同月龄Lipa-KO小鼠血清中丙氨酸氨基转移酶(alanine aminotransferase,ALT)和谷草转氨酶(aspartate aminotransferase,AST)含量。(2~4month: n=3~6; 6month: n=1~3)

图18. 不同月龄ipa-KO小鼠血脂分析。 (2~4month: n=3~6; 6month: n=1~3)

图19. 肝脏中总胆固醇含量。(n=1~3)

图20. 3月龄Lipa-KO小鼠肝脏和脾脏的油红染色代表性图像及统计分析。

图21. 3月龄Lipa-KO小鼠肝脏和脾脏的H&E染色代表性图片。
南模生物罕见病动物模型
南模生物致力于解决罕见病“无药可用”难题,已自主开发上百种罕见病相关小鼠模型,有力地推动了罕见病的病理研究、药效评估和药物安全性评价。部分模型见下表:

上下滑动查看
关于我们
上海南方模式生物科技股份有限公司(Shanghai Model Organisms Center, Inc.,简称"南模生物"),成立于2000年9月,是一家上交所科创板上市高科技生物公司(股票代码:688265),始终以编辑基因、解码生命为己任,专注于模式生物领域,打造了以基因修饰动物模型研发为核心,涵盖多物种模型构建、饲养繁育、表型分析、药物临床前评价等多个技术平台,致力于为全球高校、科研院所、制药企业等客户提供全方位、一体化的基因修饰动物模型产品解决方案。
欢迎通过以下方式联系我们:
💬 微信公众号「南模生物SMOC」在线咨询
📞 拨打400-728-0660
📧 发送邮件至marketing@modelorg.com