14 年
手机商铺
技术资料/正文
160 人阅读发布时间:2026-03-03 16:22
2026年1月15日,北京大学张泽民、王东方、席建忠、昌平实验室李佳楠共同通讯在Cancer Cell(IF=44.5)在线发表题为“Single-cell screens identify ADAM12 as a fibroblast checkpoint impeding anti-tumor immunity”的研究论文。该研究利用单细胞筛选鉴定ADAM12为阻碍抗肿瘤免疫的成纤维细胞关卡。
南模生物为该研究提供了Pdgfra-CreERT2(NM-KI-225036)及KPC(NM-KI-234804)小鼠模型。

对癌症免疫疗法难治的患者通常以肿瘤环境中普遍存在的成纤维细胞为特征。在癌症相关成纤维细胞(Cancer-associated fibroblasts,CAF)中,肌成纤维细胞通过分泌调节因子和重塑胞外基质(ECM)来抑制抗肿瘤免疫,使T细胞被排除在肿瘤核心之外。然而,直接靶向肌成纤维细胞的策略收效甚微。基于单细胞测序已揭示成纤维细胞的复杂异质性,并暗示其可能存在抗肿瘤功能轴,作者提出一个策略性思路:并非直接清除肌成纤维细胞,而是识别并阻断阻碍其终末分化、推动其从免疫抑制向促免疫状态转变的分子检查点。
1
计算机筛选与体外单细胞筛选揭示
肌成纤维细胞调节因子
为系统鉴定成纤维细胞关键调节因子,研究团队首先整合人类癌症单细胞测序数据、GTEx正常组织数据和TCGA生存数据,设定成纤维细胞富集、肿瘤特异性表达及与不良预后相关三个标准进行计算机模拟筛选,最终筛选出54个候选基因(图1A)。结果显示,大多数候选基因与肌成纤维细胞特征呈正相关(图1B)。综合三个标准对候选基因进行排序,ADAM12位列榜首,与FAP等已知调节因子一同被识别,证实了该筛选策略的可靠性(图1C)。为在患者来源成纤维细胞中解析肌成纤维细胞活化的调控网络,研究团队开发了优化的CRISPRi和CRISPRa Perturb-seq系统,构建靶向590个和265个基因的文库,以低感染复数转导结直肠癌患者来源成纤维细胞后获得超过7万个高质量单细胞转录组,验证了系统的高效编辑和可靠扰动效果(图1D)。
通过对未扰动细胞进行非负矩阵分解,定义了13个离体转录模块,并与包含23,906个成纤维细胞的体内数据集比对,发现9个保守模块;进一步整合扰动数据,根据各模块扰动效应的相关性定义了5个共调控程序,包括肌成纤维细胞样程序ProgC和干扰素反应程序ProgB,且两者扰动效应呈强负相关,空间转录组和MERFISH数据证实其在结直肠癌组织中呈空间分离分布(图1E-I;2A-B)。以上结果通过整合计算机筛选与离体功能基因组学,成功鉴定ADAM12为潜在靶点,并揭示干扰素反应程序ProgB是肌成纤维细胞程序ProgC的主要拮抗轴。

图1. 计算机模拟与离体筛选揭示肌成纤维细胞程序调控因子
2
增强ProgB和降低ProgC诱导
成纤维细胞内在的抗肿瘤活性
为验证ProgB和ProgC的功能效应,研究团队首先用TGF-β或IFN-β处理患者来源成纤维细胞,随后进行批量RNA-seq以评估表型变化,结果显示TGF-β处理增强ProgC并抑制ProgB,IFN-β处理则相反,证实了ProgC和ProgB之间的拮抗关系(图2C-D)。随后采用患者来源成纤维细胞(PDF)-肿瘤样细胞簇(PTC)共培养模型发现,ProgC high成纤维细胞促进了PTC的扩张生长,而ProgB high成纤维细胞则抑制其生长(图2E-G)。为在体内TME中验证,研究团队将经TGF-β或IFN-β预处理的成纤维细胞与MC38肿瘤细胞共注射至小鼠体内(该模型以高成纤维细胞含量为特征),结果显示ProgC high成纤维细胞肿瘤负荷增加,而ProgB high组则减缓了肿瘤进展(图2H-J)。以上结果表明,与促肿瘤的ProgC高状态相反,IFN-β诱导的ProgB高状态赋予成纤维细胞内在的抗肿瘤活性。

图2. 增强ProgB与降低ProgC可诱导
成纤维细胞内在抗肿瘤活性
3
单细胞筛选聚焦于ADAM12
为筛选出能同时增强ProgB并抑制ProgC的调节因子,研究团队整合CRISPR筛选与计算机模拟分析,发现ADAM12在离体扰动中同时满足上述效应,且在体内与ProgB呈负相关、与ProgC呈正相关,在癌症相关成纤维细胞中特异性高表达,因此被确定为优先靶点(图2K-L;3A-C)。鉴于ADAM12存在两种异构体,研究团队通过转录本定位和异构体特异性qPCR证实,长亚型ADAM12L是癌症相关成纤维细胞中的主要表达形式(图3D-G)。
为验证ADAM12的功能,研究团队在患者来源成纤维细胞中分别进行ADAM12敲除和过表达,结果显示敲除ADAM12后,ProgC相关基因(如COL1A1、TAGLN和COL12A1)的表达下调、ProgB相关基因(如IFIT1、IFIT2和IFIT3)表达上调,而过表达则呈现相反效应(图3H-K)。进一步机制研究表明,ADAM12敲除抑制TGF-β信号并增强了IFN-I信号和IFN反应性,而过表达则呈现相反效应(图3L)。以上结果表明,ADAM12通过增强TGF-β信号并抑制IFN-I信号,作为分子开关调控肌成纤维细胞样表型与干扰素反应表型之间的平衡。

图3. 单细胞筛选技术聚焦于ADAM12
4
ADAM12重塑TGF-β和IFN-I信号之间的串扰
为探究ADAM12是否能直接调控TGF-β和IFN-I信号,研究团队建立了由pSMAD2/3结合元件控制的TGF-β反应性荧光素酶报告基因,在成纤维细胞中证实TGF-β刺激可上调ADAM12表达。随后构建ADAM12敲除和过表达细胞系,发现ADAM12敲除后TGF-β信号减弱,而过表达则显著增强该信号(图3L),且在IFN-β刺激下,ADAM12过表达细胞中STAT1磷酸化水平及干扰素刺激基因表达均显著降低。
TGF-β和IFN信号以复杂的方式相互作用。为进一步验证ADAM12对信号串扰的调控作用,研究团队进行了三种的处理:顺序TGF-β→IFN-β或IFN-β→TGF-β刺激,以及同时刺激,随后监测荧光素酶活性(图3M)。结果显示,ADAM12过表达在所有处理情况下均增强TGF-β信号并抵抗IFN-β的抑制作用,而ADAM12敲除则持续减弱TGF-β信号(图3M)。以上结果表明,ADAM12具有双重作用:增强TGF-β信号并抑制IFN-I信号。
5
ADAM12缺失限制肿瘤进展
为探究ADAM12缺失对肿瘤生长的影响,研究团队首先利用PDF-PTC共培养模型,发现ADAM12敲除成纤维细胞抑制PTC生长,而过表达则促进PTC生长(图4A-B)。为进行体内验证,研究团队将sgRosa26或sgAdam12成纤维细胞与MC38肿瘤细胞共注射至C57BL/6小鼠体内,发现sgAdam12组肿瘤生长显著减缓(图4C-D)。单细胞转录组测序分析显示,sgRosa26组来源的成纤维细胞表现出GM6和GM7的高表达,而sgAdam12组的成纤维细胞则表现出更高水平的GM4和GM5(图4E)。差异表达分析证实sgAdam12组中TGF-β反应性基因下调、干扰素反应基因上调(图4F)。亚群分析进一步揭示,sgAdam12组中终末分化的肌成纤维细胞簇比例减少,而早期祖细胞样状态簇比例增加(图4G-I)。以上结果表明,ADAM12缺失通过将成纤维细胞从促肿瘤的肌成纤维细胞状态重塑为祖细胞样状态,从而限制肿瘤进展。

图4. 靶向ADAM12重塑三维肿瘤微环境中的成纤维细胞
6
成纤维细胞特异性ADAM12缺失
降低多种模型中的肿瘤负荷
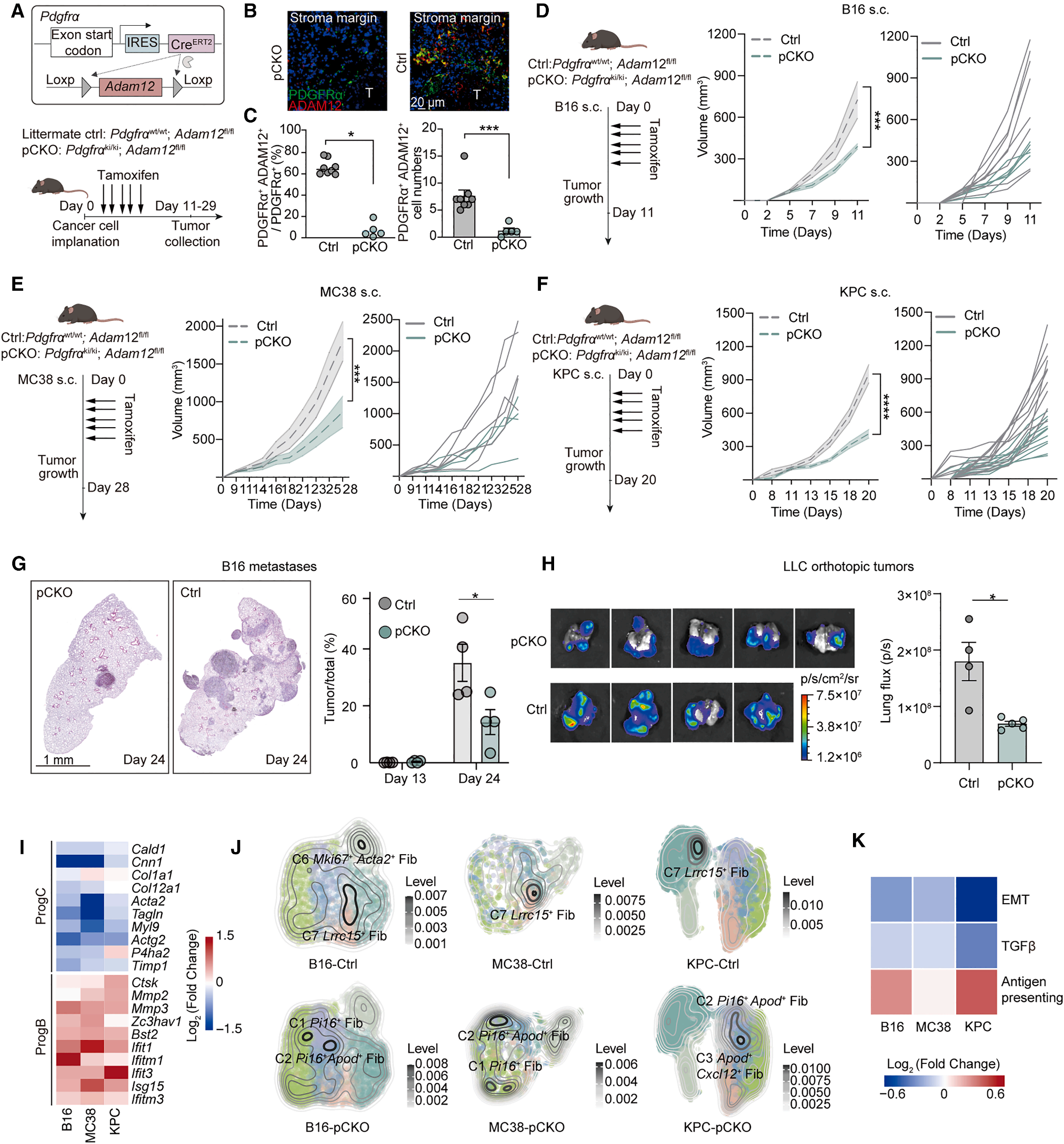
为在体内验证ADAM12的促肿瘤功能,研究团队构建了PdgfraCreERT2; Adam12flox/flox(Adam12-pCKO)小鼠模型,该小鼠可在他莫昔芬诱导后实现成纤维细胞特异性ADAM12缺失(图5A),并在皮下分别接种B16黑色素瘤、MC38结直肠癌或KPC胰腺癌细胞系。结果发现,在三种皮下肿瘤模型中,pCKO小鼠均表现出显著的肿瘤生长抑制和肿瘤重量降低(图5D-F)。进一步在原位Lewis肺癌和B16肺转移模型中,pCKO小鼠同样显示肿瘤进展受抑(图5G-H)。对三个皮下模型的癌症相关成纤维细胞进行单细胞转录组测序分析发现,pCKO成纤维细胞在所有模型中均表现为ProgC特征降低、ProgB特征升高(图5I)。整合聚类分析揭示pCKO组中高表达ProgC的终末分化肌成纤维细胞簇比例减少,而富集ProgB的祖细胞样簇比例增加(图5J)。转录组分析显示,pCKO组中TGF-β信号、胶原组织和上皮间质转化相关基因下调,而抗原呈递和干扰素反应基因上调(图5K)。以上结果表明,成纤维细胞特异性ADAM12缺失在多种肿瘤模型中通过重塑成纤维细胞表型并影响癌细胞状态,持续减少肿瘤负担。

图5. 靶向ADAM12可降低多种临床前模型中的肿瘤负荷
7
ADAM12缺失重塑TME并增强
CD8+ T细胞介导的抗肿瘤免疫反应
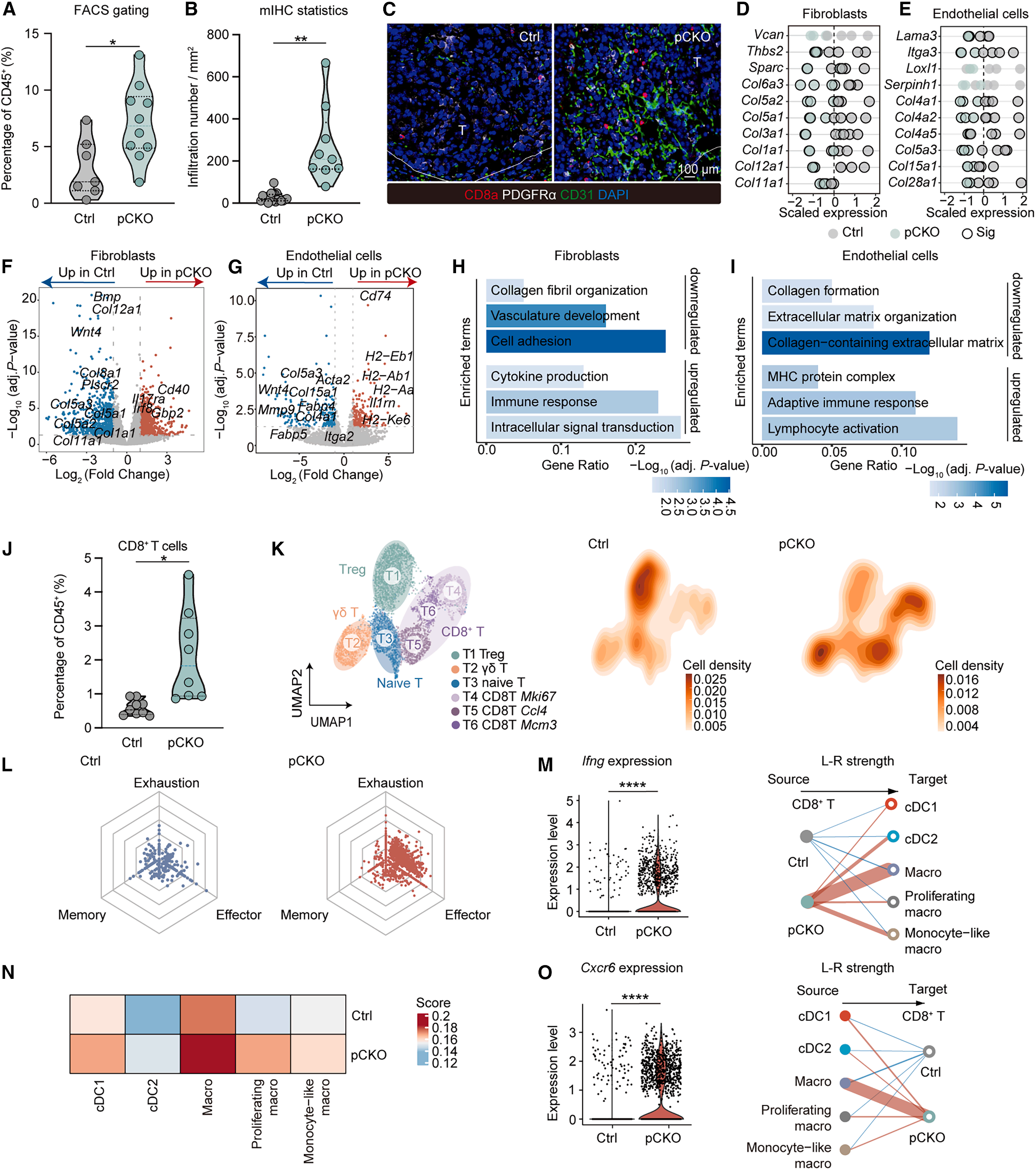
为探究ADAM12缺失如何重塑肿瘤微环境,研究团队首先分析了B16肺转移模型,结果显示,pCKO小鼠中CD8+ T细胞浸润增加、血管结构破坏减少(图6A-C)。对成纤维细胞和内皮细胞进行批量转录组测序发现,pCKO组中ECM沉积相关基因协同下调,免疫反应通路富集,且成纤维细胞中Cd40、内皮细胞中Cd74和MHC-II分子表达上调(图6D-I)。随后对KPC模型进行分析,结果显示,CD8+ T细胞浸润增加(图6J)。单细胞测序结果显示pCKO组中调节性T细胞减少,而γδ T细胞和CD8+ T细胞比例增加(图6K)。进一步分析显示,pCKO来源的CD8+ T细胞高表达效应分子Gzmh和Ifng,同时伴随耗竭标志物Pdcd1上调(图6L-M)。细胞通讯分析显示,pCKO组中CD8+ T细胞与巨噬细胞间的IFNG-IFNGR1/2轴增强,且富集与细胞毒性T细胞定位相关的CXCL16-CXCR6相互作用(图6N-O)。以上结果表明,ADAM12缺失通过重塑基质细胞状态、增强CD8+ T细胞效应功能,重塑肿瘤微环境并促进抗肿瘤免疫反应。

图6. ADAM12基因敲除可降低肿瘤负荷并促进抗肿瘤反应
8
ADAM12基因缺失增强免疫检查点阻断反应
为探究ADAM12缺失是否增强免疫检查点阻断疗效,研究团队对pCKO小鼠模型和对照小鼠均皮下接种KPC胰腺癌细胞系,并给与抗PD-L1治疗(图7A)。结果显示,pCKO组抗PD-L1治疗显著抑制肿瘤生长(图7B)。为评估ADAM12在人类癌症中的临床相关性,研究团队分析TCGA数据库发现,ADAM12高表达与多种癌症类型的不良预后相关,且与CD8+ T细胞浸润水平呈负相关(图7C-D)。进一步分析结直肠癌和乳腺癌免疫治疗队列的单细胞测序数据显示,与非应答者相比,应答者肿瘤成纤维细胞中ADAM12表达更低、ProgB/ProgC比值更高、TGF-β信号更弱而IFN-I反应更强(图7E)。在结直肠癌患者中,治疗后肿瘤消退率与ADAM12表达下调程度呈正相关,且ADAM12表达动态与肿瘤反应性CD8+ T细胞变化呈负相关(图7E)。以上结果表明,ADAM12缺失可增强免疫检查点阻断疗效,且ADAM12在人类癌症中与免疫治疗应答密切相关,提示其作为治疗靶点的潜在价值。

图7. ADAM12基因敲除增强免疫检查点抑制剂(ICB)应答
总之,该研究成功构建了“计算预测→功能筛选→机制解析→疗效验证”的完整研究路径,系统揭示了CAFs中可被干预的“抗肿瘤轴线”,并识别出ADAM12为调控该过程的关键靶点。与具有广泛毒副作用的TGFβ通路抑制方案相比,ADAM12在正常组织中表达极低,具备更高的治疗特异性与安全性。该研究为克服免疫治疗耐药,尤其是改善‘冷肿瘤’微环境,提供了新的潜在策略与实验依据。

图8. 研究模式图
关于我们
上海南方模式生物科技股份有限公司(Shanghai Model Organisms Center, Inc.,简称"南模生物"),成立于2000年9月,是一家上交所科创板上市高科技生物公司(股票代码:688265),始终以编辑基因、解码生命为己任,专注于模式生物领域,打造了以基因修饰动物模型研发为核心,涵盖多物种模型构建、饲养繁育、表型分析、药物临床前评价等多个技术平台,致力于为全球高校、科研院所、制药企业等客户提供全方位、一体化的基因修饰动物模型产品解决方案。