14 年
手机商铺
公司新闻/正文
795 人阅读发布时间:2024-01-16 13:30
生物领域的科学研究不可避免地涉及对疾病的深入探索。相比来讲,选择基因修饰小鼠模型进行疾病研究有许多优势。通过基因编辑技术,研究人员能够精确模拟人类疾病中的特定基因变异,诱发相关表型,从而更好地理解这些变异对生理和病理过程的影响。
此外,小鼠和人类在生理结构和器官系统相似度较高,能够提供对人类疾病更真实的模拟。在繁育方面,小鼠是相对容易管理和操作的实验动物,有着成熟的养殖、饲养、监测和实验技术。
总体而言,基因修饰小鼠为深入研究疾病提供了强有力的工具。那么在面对繁多的疾病类型时,我们应该如何选择适合自己研究的小鼠模型呢?
想要运用基因修饰动物模型进行疾病的体内研究,会运用到这些要素:
一个目的基因(A);
一个要研究的疾病(B);
相应的模型(C);
基因在疾病模型中的表型(D)。

体内研究的本质实际上是通过对目的基因(A)的修饰,使动物模型(C)呈现出与人类疾病(B)相似的表型改变(D)。在这一过程中,基因是原因,疾病是宏观结果,而表型则是具体的显现形式。在研究过程中,模型的选择是非常关键的一步。根据模型与其他两个要素的关系,可以分为基因模型和疾病模型。可以说,模型是重现整个过程的工具,也是整个研究的基石。
掌握了逻辑原理,现在如何去实践选择具体模型呢?下面来为大家介绍一些经典模型案例。
1.代谢心血管疾病——肥胖:
代谢心血管疾病包括肥胖、糖尿病、心脏代谢紊乱、高脂血症、动脉粥样硬化、高血压等,这类慢性病严重影响人的生活质量,同时也带来了沉重的经济负担。以肥胖为例,肥胖症是一种多因素疾病,其特征是体内脂肪过多。肥胖症在世界范围内的流行率都在增加,根据《中国居民营养与慢性病状况报告(2020年)》的数据,目前中国成人中已有超过1/2的人超重或肥胖,成年居民(≥18岁)超重率为34.3%、肥胖率为16.4%。肥胖的遗传学可分为综合征型肥胖和非综合征型肥胖。

图1 肥胖的遗传学:肥胖的综合征和非综合征形式
综合征型肥胖有Prader-Willi、Fragile X、Bardet-Biedl、Cohen等,它们与发育迟缓和早发性肥胖有关。非综合征性肥胖可能是单基因、多基因或染色体变异引起的。研究表明,LEP、LEPR、POMC、PCSK1、MC4R、BDNF等都是肥胖的致病基因。相比于多基因模型可以更好的模拟肥胖发生发展过程,单基因模型则适用于新治疗靶点的后续验证,例如广为熟知的ob/ob和db/db小鼠、ZDF大鼠等。
南模生物利用基因编辑技术敲除瘦素基因Leptin构建了Lep-KO小鼠(ob/ob小鼠)。该基因的敲除将导致严重的肥胖、肥胖引起的性腺功能不足,还与II型糖尿病的发展密切相关。可知Lep-KO小鼠是研究胰岛素抵抗、肥胖、II型糖尿病等疾病的重要工具。

图2 Lep-KO (ob/ob)小鼠的验证。A,Lep-KO小鼠表现出明显的肥胖表型(n=16);B,Lep-KO 小鼠表现出高血糖的症状(n=16);C-D,Lep-KO 小鼠表现出明显的糖耐量异常(n=6,雄性,6周龄);E,Lep-KO 小鼠的胰岛素水平(n=4, 20周龄)

图3 Lep-KO (ob/ob)小鼠皮下脂肪组织的H&E染色。结果显示Lep-KO 小鼠脂肪细胞体积更大。

图4 Lep-KO (ob/ob)小鼠胰腺的代表性图片。结果提示Lep-KO 小鼠胰腺有炎性细胞浸润。
2.原发肿瘤——肝癌、肺癌:
近年来,恶性肿瘤的发生率与死亡率逐年上升,成为威胁人类健康的主要因素之一。肿瘤的发生与原癌基因及抑癌基因功能的失调密切相关,可以说基因突变是癌变的分子基础。基因的功能研究催生了基因修饰原发肿瘤小鼠模型的构建。该模型的构建是通过基因编辑技术使免疫健全小鼠的癌基因过表达或激活,抑癌基因敲除或抑制,使小鼠体内自发形成肿瘤。这些模型完全保留了肿瘤的异质性,更好地模拟了人类癌症的发生和发展过程,对药物反应和耐药性也具有很强的预测能力。
以肝癌为例,它是全球常见癌症前六位。利用基因工程手段构建的肝癌小鼠模型不仅能帮助科学家们在动物整体的组织器官水平上进行研究,还可以进一步探索细胞和分子水平的关键,为肝癌的发病机制、药物筛选和临床医学研究提供了理想的实验动物模型。这些基因修饰的原发肝癌小鼠模型因其全面的研究优势,受到研究者们的高度关注:

图5 肝癌发生相关细胞通路
1.Pten肝特异性敲除小鼠:PTEN(Phosphatase and Tensin Homolog,磷酸酶与张力蛋白类似物),具有蛋白磷酸酶和脂质磷酸酶的活性,主要通过拮抗PI3K/ATK信号通路调控多种生命过程。在一些高度恶性的肿瘤中常出现Pten的缺失。Pten全身性敲除的纯合子小鼠常伴有胚胎致死,杂合子小鼠可发展出多器官肿瘤,在肝脏中特异性敲除Pten基因,可诱发脂肪细胞增殖,脂肪肝和肝纤维化等症状,这个模型再现了脂肪变性、脂肪性肝炎和肝癌的进展,可用于复制脂肪肝向肝癌转化的进程。
2.Mir-122肝特异性敲除小鼠:鉴于miRNA可能是治疗肝癌的潜在靶点,目前已建立了多种miRNA基因修饰的肝癌模型。MiR-122,全称为MicroRNA-122,属于miRNA。MiR-122通常被认为是肝癌的一种抑制因子,其异常表达已被证实与肝癌的发生和发展密切相关。Mir-122全身性敲除小鼠在第5周开始出现炎症,89%的雄性和23%的雌性小鼠在第10个月出现肝肿瘤。而Mir-122肝脏特异性敲除小鼠在第8~10周开始出现炎症,50%的雄性和10%的雌性小鼠在第12个月出现肝肿瘤。这些研究结果强调了MiR-122在维持正常肝功能和抑制肝癌发展中的重要性。
3.Myc肝特异性过表达小鼠:c-Myc基因是Myc基因家族的一员,在许多肿瘤中存在着异常表达,其在细胞增殖、生长代谢、血管生成、细胞恶性转化及凋亡中起着极为重要的调节作用。在肝脏中特异性的过表达Myc基因,该小鼠模型在2月龄时会自发肝癌。取小鼠的肝脏组织进行HE染色,可见细胞排列无序,胞核不清,空泡样变性结构,肝小叶结构消失。进一步使用增殖标记物Ki67进行免疫荧光检测,结果显示相比对照组,实验组小鼠肝组织的细胞分裂增殖活跃,符合肿瘤组织的特征。这表明该小鼠模型能够模拟肝癌的病理过程,为肿瘤研究提供了有力的实验基础。南模生物自主研发了H11-CAG-LSL-Myc小鼠,可在与Cre工具鼠交配后,在Cre表达的组织中高表达Myc基因。可用于肿瘤模型的建立与肿瘤研究中。
例如,与Alb-Cre小鼠交配后,可呈现以下表型:

图6 肝部肿瘤小鼠与正常表型小鼠。左为H11-LSL-Myc;Alb-Cre小鼠,腹部膨隆,表面不平,腹腔内可见明显团块状物体充盈。右为Alb-Cre小鼠,腹部平坦,腹腔未见明显肿胀等异常现象。

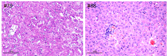
图7 肝部肿瘤小鼠与正常表型小鼠肝脏组织学结果。#79小鼠的肝脏组织细胞排列无序,胞核不清,可见空泡样变性结构,肝小叶结构消失,组织结构呈不规则细胞团,符合肿瘤组织结构特征。#88小鼠的肝脏组织肝细胞呈放射状排列,细胞轮廓清晰,胞核圆形居中,肝小叶结构清晰,组织结构基本正常。

图8 肝部肿瘤小鼠与正常表型小鼠肝脏Ki67表达结果。#79小鼠的肝脏组织有大量的Ki67阳性细胞,提示肝组织的细胞分裂增殖旺盛,符合肿瘤组织的特性。#88小鼠的肝脏组织有散在的Ki67阳性细胞,提示肝脏组织少量细胞有分裂增殖。

图9 活体成像检测荷瘤小鼠(野生型B6小鼠接种了H11-LSL-Myc; Rosa26-LSL-Luc-EGFP; Alb-Cre三阳性小鼠自发肝癌瘤块)的luciferase的表达情况。随着时间推移,荧光强度随着肿瘤增大而逐渐增强。
肺癌也是特别常见的一种癌症,近年更成为我国肿瘤发病率和死亡率最高的癌种。在肺癌患者中检测出多种基因的突变, 研究者们利用发现的多种基因突变构建了相应的基因修饰小鼠模型,应用较为广泛的是与这两个基因相关的模型:

图10 肺癌中常见的基因突变
EGFR:EGFR突变肺癌模型:表皮生长因子受体(epidermal growth factor receptor,EGFR)在细胞增殖和分化中起到重要作用,是目前最重要的靶向治疗靶点之一。突变后导致蛋白功能异常,持续处于激活状态,导致肿瘤细胞的持续增殖。该基因的突变是非小细胞肺癌中最常见的突变,两个突变,外显子19的缺失和外显子21的单个氨基酸替换L858R,通常被称为“经典的”表皮生长因子受体突变,加在一起占非小细胞肺癌观察到的表皮生长因子受体突变的85%。EGFR-L858R突变引起的是类似于支气管肺泡的弥漫性肿瘤,EGFR外显子19的缺失则更多引起多灶性腺癌。
KRAS:KRAS基因是首被确定的原癌基因,其编码的基因是一种小的GTP水解酶,通过在激活(GTP结合)和失活(GDP结合)构象之间循环来控制多个信号级联通路,与HRAS、NRAS同属于RAS超蛋白家族。正常的KRAS基因发挥抑癌作用,当其发生异常时,持续处于激活状态,导致肿瘤细胞的持续增殖,导致肿瘤发生。目前国际上还应用较广泛的肺癌动物模型是Kras-G12D小鼠模型,该模型从肺部炎性反应到肺腺瘤进展时程较长,为肺癌病因的研究提供了更长的窗口期。南模生物自主研发了Kras-LSL-G12D小鼠,该小鼠与Cre小鼠交配后可获得Kras-G12D点突变小鼠。

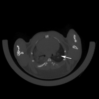
图11 采用气管内注射的方法,将AAV-cre病毒注射到小鼠肺部,在肺细胞中表达Kras G12D致癌基因,从而诱发肺癌发生。3个月后对小鼠肺部进行CT检测,CT结果显示有明显的肿瘤的形成。

图12 Scgb1a1CreERT2/+; KrasG12D/+小鼠肺部CT检测结果。小鼠经腹腔注射玉米油/他莫西芬5次,5个月后对其肺部进行CT检测。

图13 Scgb1a1CreERT2/+; KrasG12D/+小鼠肺组织的H&E染色结果。肺部肿瘤均为肺腺癌,黑色箭头指示肿瘤组织。Grade I和Grade IV :动物肿瘤分级。
此外,我们还可以提供Kras(LSL-G12D/+)小鼠肿瘤细胞来源的荷瘤小鼠模型。肿瘤细胞可在受体小鼠体内快速增殖。荷瘤小鼠模型可提高临床药效评价实验操作的简便性。

图14 荷瘤小鼠体内肿瘤细胞体积随时间增长的变化
3.罕见病——血友病、DMD:
罕见病(Rare Disease),又称孤儿病(Orphan Disease),根据《中国罕见病定义研究报告2021》的规定,在新生儿发病率小于万分之一、患病率小于万分之一、患病人数小于14万中只要符合一项标准的疾病,就被归类为罕见病。尽管罕见病的发病率极低,但涵盖的病种众多,总体患者数量并不低。截至目前,全球已知罕见病超过7000种,患者约有3.5亿人,是艾滋病和癌症患者总数的两倍多。其中,我国罕见病患者约2000万人,每年新增患者超过20万人。
研究表明,80%以上的罕见病由遗传因素导致,50%在出生或儿童期发病,以先天性畸形、内分泌代谢及神经系统疾病为主。面对罕见病患者数量有限、研究样本稀缺、临床试验难度较大的困境,合适的动物模型显得尤为重要。建立和供应稳定可靠的罕见病动物模型对罕见病的发病机制研究、药物靶点研究以及治疗效果评价等方面都具有不可估计的潜力。

图15 血友病相关基因治疗历史时间线
以血友病为例,作为一种血液性罕见病,血友病的特征是活性凝血活酶生成障碍,凝血时间延长。患者终身存在轻微创伤后出血的倾向,甚至在没有明显外伤的情况下也可发生“自发性”出血,严重时甚至危及生命。根据凝血因子的差异,血友病可分为由FVIII凝血因子功能异常引起的血友病A(hemophilia A,HA)与由FIX凝血因子异常引起的血友病B(hemophilia B,HB)。
在基因治疗的研究中,动物模型的应用是不可或缺的基础支持条件。第一例血友病模型形成于上世纪七八十年代,随着CRISPR-Cas9技术的发展与应用,科研工作者对小鼠F9因子的第8外显子核心功能区进行了定点编辑,成功获得了小鼠血友病HB模型。2016年,成功构建了携带点突变F9Y381D的小鼠,同时还制备了F9Y381S突变小鼠和第383位氨基酸突变为终止密码子的敲除小鼠F9383STOP。同年,F8因子敲除即HA小鼠模型也得以成功构建。
血液病小鼠模型的成功构建极大的推动了血友病的研究。在此基础上,南模生物自主研发了F8与F9基因敲除小鼠模型,可以表现出类似人类血友病的凝血时间更长的表型。

图16 不同品系F8敲除小鼠活化部分凝血活酶时间(APTT)检测。结果显示F8-KO小鼠(NM-KO-00012)凝血所需时间明显长于野生型小鼠

图17 F9-KO(2)小鼠凝血指数的检测。(A)活化部分凝血活素时间(APTT)测定显示,F9-KO(2)小鼠的凝血时间明显长于WT小鼠。(B)纤维蛋白原(FIB)检测结果显示,F9-KO(2)小鼠与WT小鼠FIB值无显著差异。
不只是小鼠模型,南模生物还自主研发了F8-KO血友病大鼠模型,可以供研究者们进行F8因子缺失相关凝血机制研究和药物试验。

图18 不同性别6w F8敲除大鼠活化部分凝血活酶时间(APTT)检测。结果显示F8-KO大鼠凝血所需时间明显长于野生型大鼠。

图19 不同性别6w F8敲除大鼠纤维蛋白原(FIB)检测。结果显示无显著性差异。
再以罕见病杜兴肌营养不良症(DMD)为例,它是一种性联隐性遗传病,又名为假性肥大型肌肉萎缩症,是症状最严重的肌肉萎缩症。
肌肉细胞由于基因突变缺陷,无法正常产生一种称为Dystrophin的蛋白质,使钙离子渗入细胞,引发瀑布反应,导致患者全身肌肉无力;同时由于缺乏Dystrophin,细胞组织肌肉纤维变得无力且脆弱,经长期的伸展后该缺失肌肉细胞组织将产生机械性伤害等等因素而破坏,最终导致肌肉细胞死亡。
南模生物构建了Dmd基因突变小鼠模型Dmd-Q995X(MDX),发现该小鼠骨骼肌肌间隙变宽,肌纤维大小不一,细胞核聚集,炎性细胞浸润,且抓力显著降低,提示该模型可作为研究杜兴肌营养不良症的小鼠模型。

图20 HE染色显示MDX小鼠(雄性,6月龄)骨骼肌肌间隙变宽,肌纤维大小不一,细胞核聚集,炎性细胞浸润

图21 MDX小鼠的肢体抓力测试。通过握力计(BIO-G53,Bioseb,France)进行MDX小鼠肢体强度的评估。使MDX小鼠抓住拉杆然后轻轻向后拉,在失去抓地力之前施加到杆上的力被记录为峰值阻力(g)。
还有更多想了解的模型没有提及?没关系!
南模生物推出U-DMbase®疾病小鼠模型资源库,不仅提供上述肿瘤、罕见病、代谢类疾病等多类相关小鼠模型检索,还了涵盖多种神经系统类疾病和自免疾病等多种小鼠疾病模型(悄悄说一句:我们还有专业团队提供基因修饰小鼠定制服务哦~欢迎拨打400-728-0660或者关注微信公众号点击在线咨询,助您科研快人一步)。借助U-DMbase®数据库,一键查找所需的研究模型,轻松开始科研之路!
参考文献:
1.Singh RK, et al. Molecular genetics of human obesity: A comprehensive review. C R Biol. 2017 ;340(2):87-108.
2.Mahmoud R, et al. Genetics of Obesity in Humans: A Clinical Review. Int J Mol Sci. 2022;23(19):11005.
3.Berkemeyer S. Primary Liver Cancers: Connecting the Dots of Cellular Studies and Epidemiology with Metabolomics. Int J Mol Sci. 2023;24(3):2409.
4.Xue X, et al. Catalog of Lung Cancer Gene Mutations Among Chinese Patients. Front Oncol. 2020;10:1251.
5.Nathwani AC. Gene therapy for hemophilia. Hematology Am Soc Hematol Educ Program. 2022(1):569-578.